Adult patient: Giant cell Tumor. Expansile lytic lesion eccentric location The subarticular position is characteristic of this tumour.
Adult : Expansile lytic lesion, eccentric in the metaphysis. Sub articular surface May violate the cortex . Aggressive nature

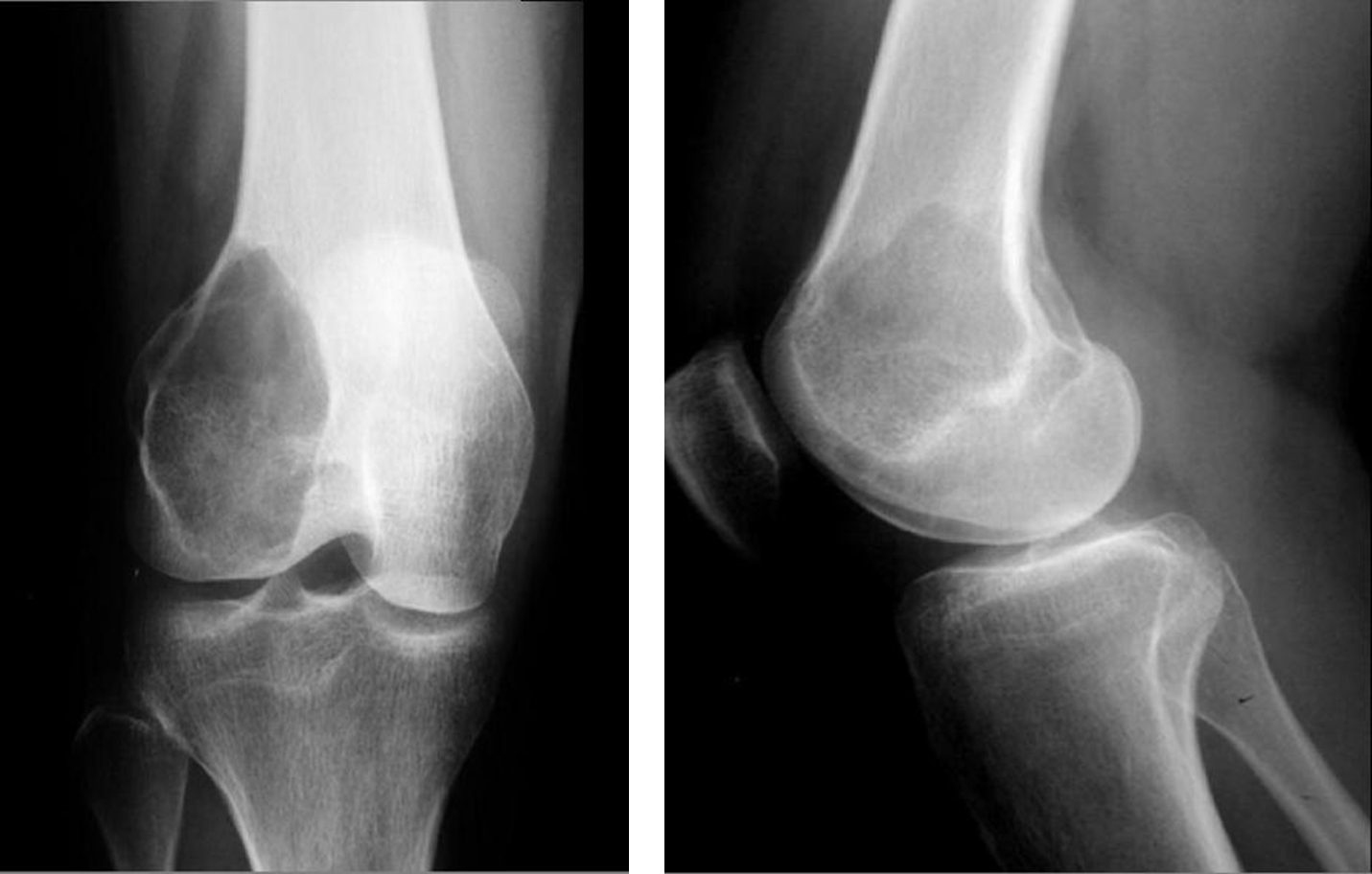
14 years old patient has lower leg pain. X-ray Knee is requested
Within the metaphysis, doesn’t extent to the epiphysis
- •Geographical
- •X ray: expansile lytic lesion , cortex is thinned out
- •MR : fluid level
- •Cause: aneurysmal bone cyst (age, location, appearance)
X-ray shows: Lytic expansile lesion located on the metaphysis(benign). MRI show fluid levels in the lesion