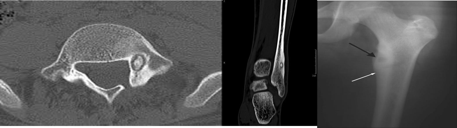
Benign bone forming tumor
An osteoid osteoma is most common in the femur and tibia in young adults.
characteristic radiological appearance:
- a small lucency, sometimes with central specks of calcification, known as a ‘nidus’, surrounded by a dense sclerotic rim. and classically cause night-pain that is relieved by Aspirin.
(a) Plain film showing an area of sclerosis at the upper end of the tibia.
(b) CT scan showing sclerosis with a central lucency known as a nidus (arrow).
