Benign tumor. Complicated by hemorrhages. is a fairly frequent incidental finding at ultrasound.

Diagnostics 

Abdominal ultrasound:

Round, well-circumscribed, highly echogenic renal tumor often located near the renal capsule Ultrasound of the right kidney.

There is a hyperechoic, sharply demarcated, round lesion that is located directly on the renal pelvis without a displacement effect on the organ. This finding is most likely an angiomyolipoma

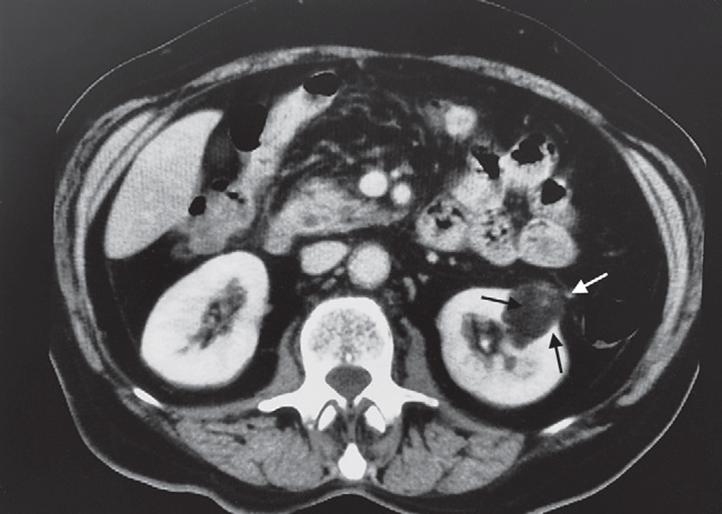
Abdominal CT

Tumor with macroscopic fat deposits -No calcification It has a strong association with tuberous sclerosis Angiomyolipoma seen as a well-defined mass (arrows) of fat density on CT.