Standard CT technique for renal imaging:
IV contrast differentiate pathological process from normal.
Computed tomography of kidneys, ureters and bladder (CT KUB) is a quick non-invasive technique for diagnosis of urolithiasis
CT urography (CTU or CT-IVU) has now largely replaced traditional IVU in imaging the genitourinary tract. It gives both anatomical and functional information.

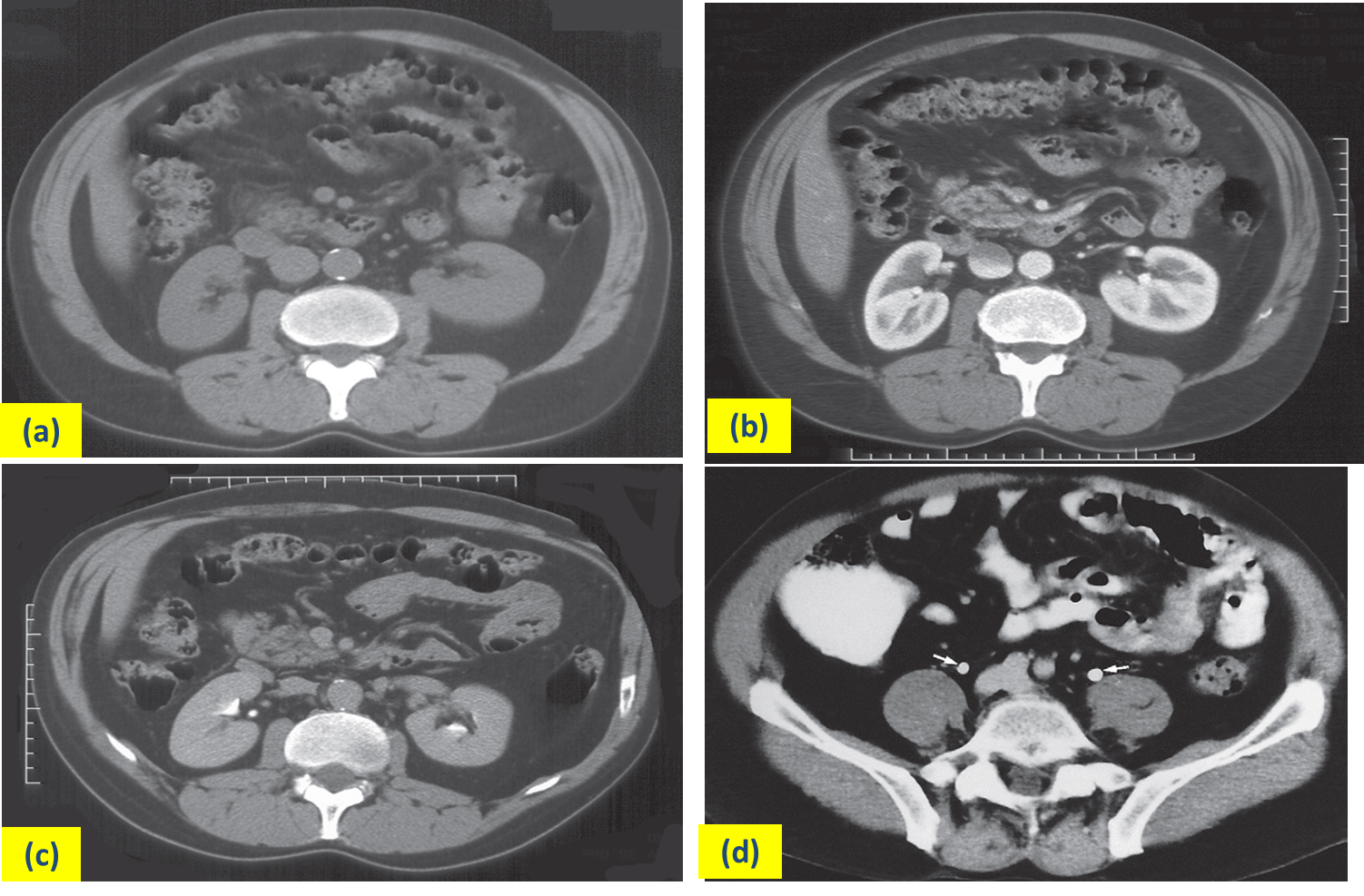
Normal CT of kidneys and bladder (a)
Before the intravenous contrast has been given.
(b)Forty seconds after intravenous contrast infusion (corticomedullary phase)
(c) Ten minutes following the contrast infusion
(d) ten minutes after contrast has been given. shows Section through the pelvis showing the ureters (arrows)