Anomalies Double collecting system
Bifid collecting system. There is a bifid collecting system on the left with the two ureters joining at the level of the transverse process of L5. the left kidney is larger than the right.

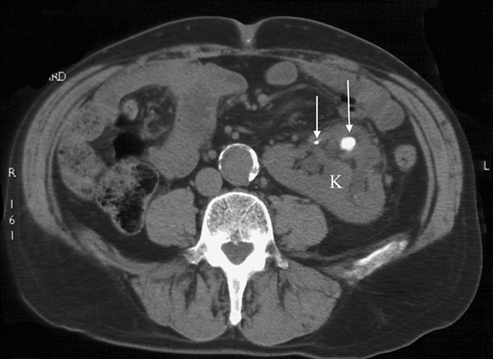
Non-contrast enhanced CT
in a patient with crossed fused ectopia, a renal anatomical variant.
Multiple stones were demonstrated (arrows), allowing accurate planning of his lithotripsy treatment.
