CT abdomen (with contrast; axial plane)
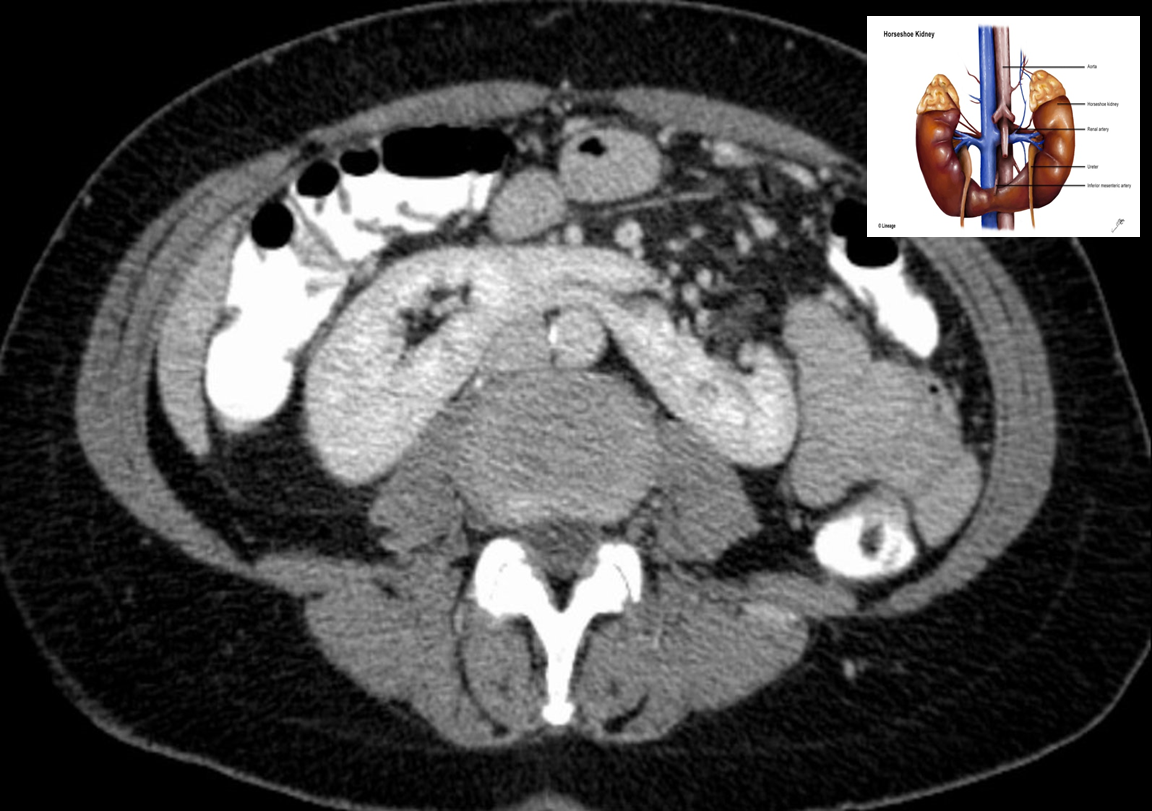
The lower poles of the kidneys are fused across the midline by an isthmus of enhancing parenchyma .
This is a classic appearance of horseshoe kidney.

The lower poles of the kidneys are fused across the midline by an isthmus of enhancing parenchyma .
This is a classic appearance of horseshoe kidney.
