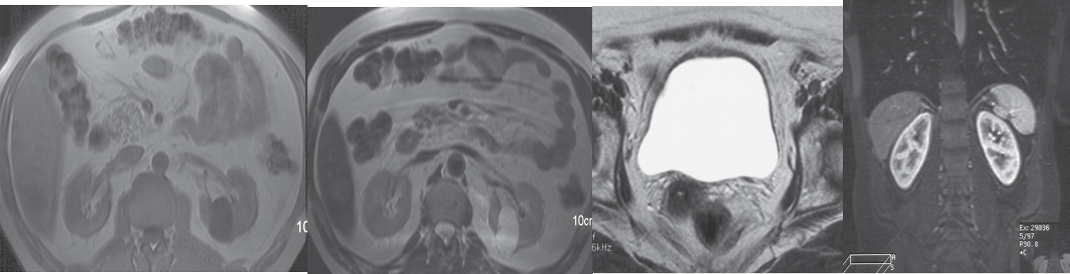
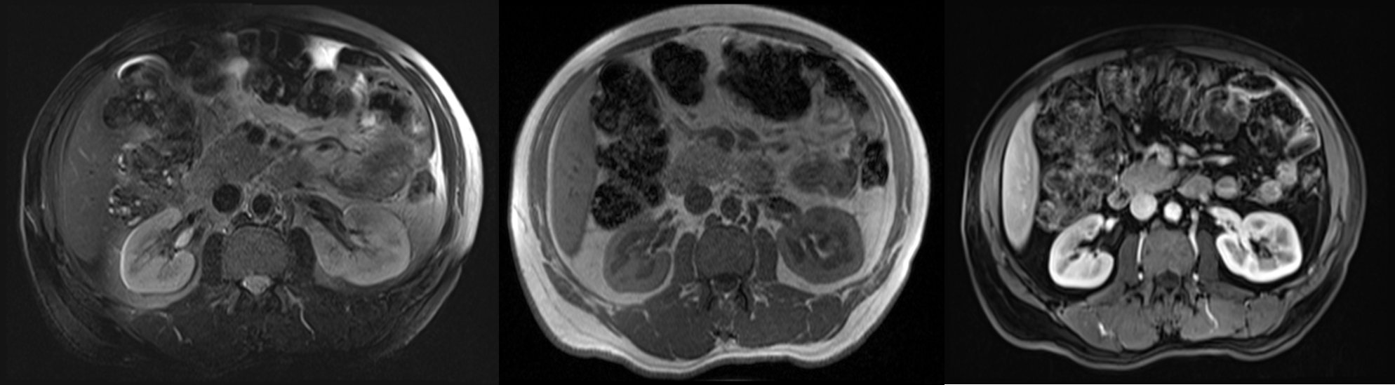
MRI gives similar anatomical information to CT, with the advantage of being able to obtain scans directly in multiple planes.
It is generally used in selected circumstances, e.g.:
- = To demonstrate renal artery stenosis or inferior vena caval extension of renal tumours,
- = To clarify problems not solved by ultrasound or CT.
- = To assess the extent of bladder or prostate cancer prior to consideration for surgery
Calcification is not visible on MRI, which is one of the main disadvantages of the technique for renal tract imaging.

