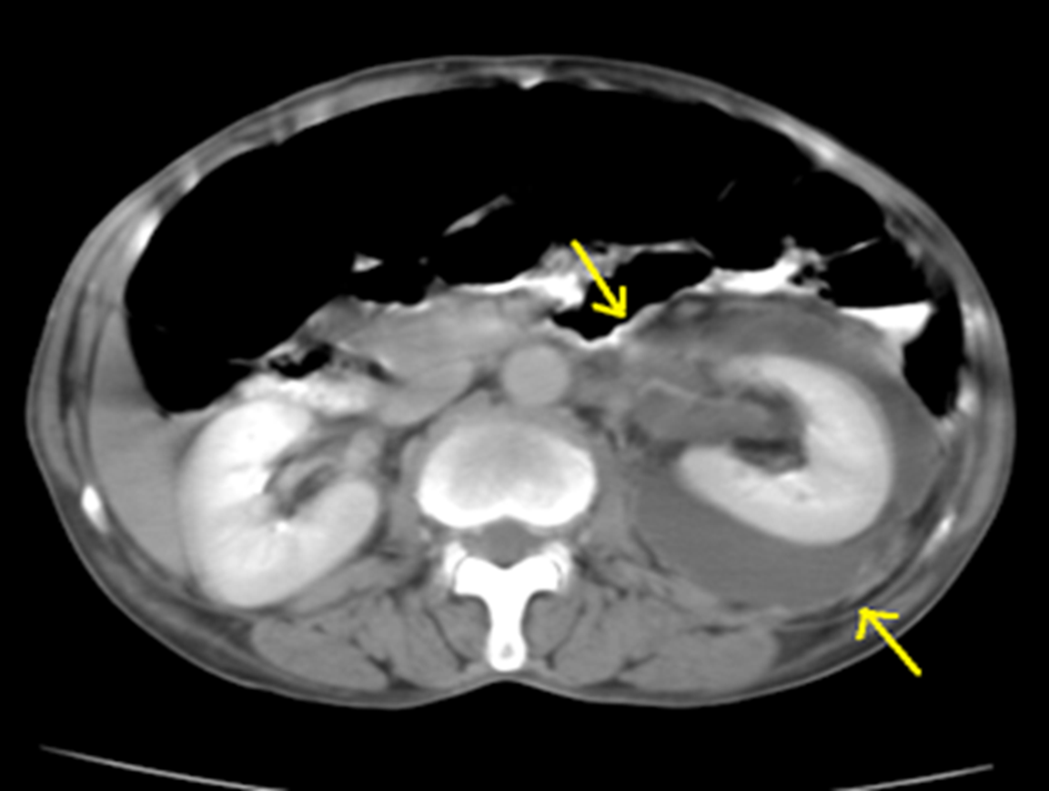
Perirenal collection Perinephric abscess.

CT scan showing loculated fluid (arrows) with a thick enhancing wall surrounding the left kidney.