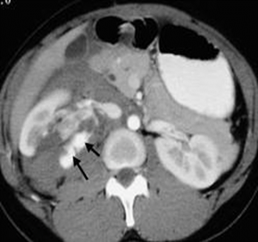
Diagnosis: CT show LT Renal stone

Renal stone on ultrasound

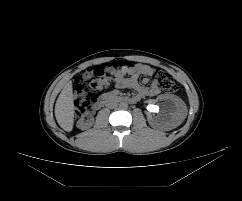
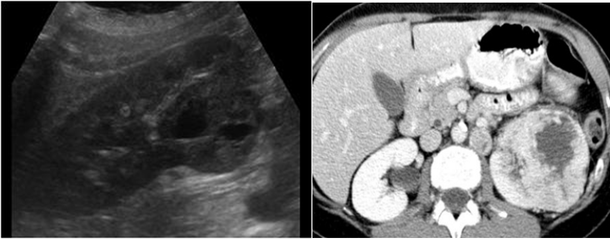
Middle age male patient presents with painless hematuria and weight loss.
- CT and ultrasound show mass lesion in left kidney
- Diagnosis: renal cell carcinoma

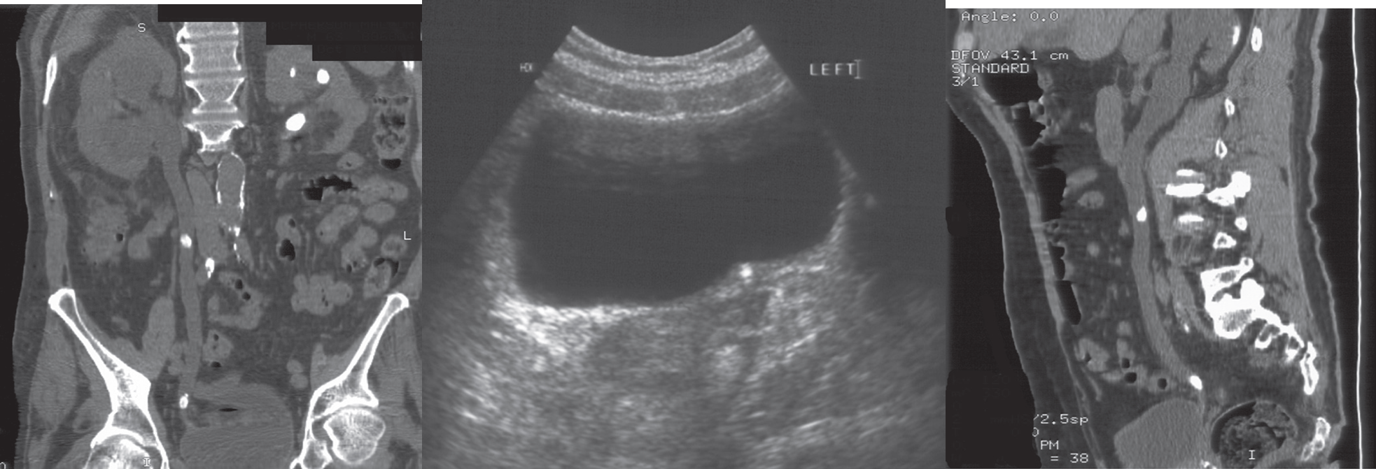
Young male patient involved in a motor vehicle accident with blunt trauma to the abdomen.
CT show ruptured RT kidney

