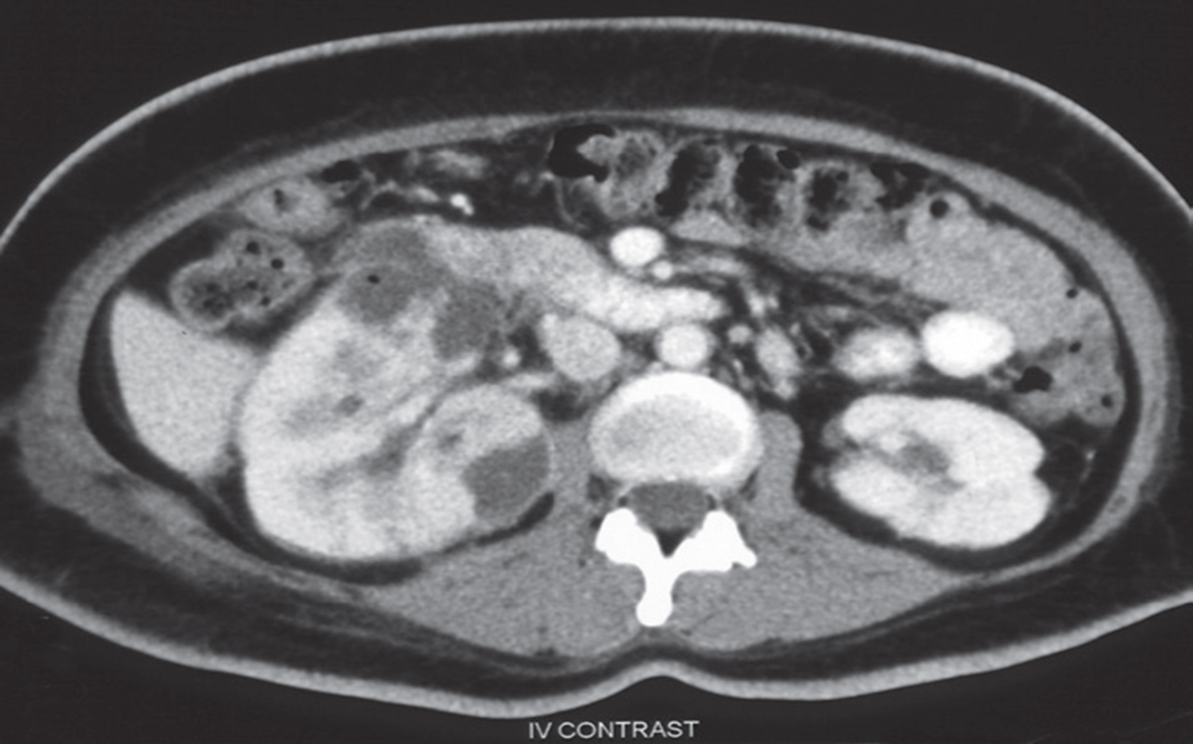
CT imaging of Abscesses

Focal or diffuse renal enlargement.

An abscess appears as a well-defined mass of low attenuation with a thick, irregular wall or pseudo capsule, which can be better visualized on contrast enhanced scans CECT.

Gas within a low attenuation/cystic mass strongly suggests abscess formation.

\CT scan with intravenous contrast demonstrating multiple low attenuation fluid collections in the right renal cortex, consistent with multiple renal abscesses.