Retrograde urethrogram:
- To rule out suspected urethral injury
- First diagnostic step (before catheterization) in a patient with suspected urethral injury.
- Findings: contrast extravasation from the urethra at point of injury
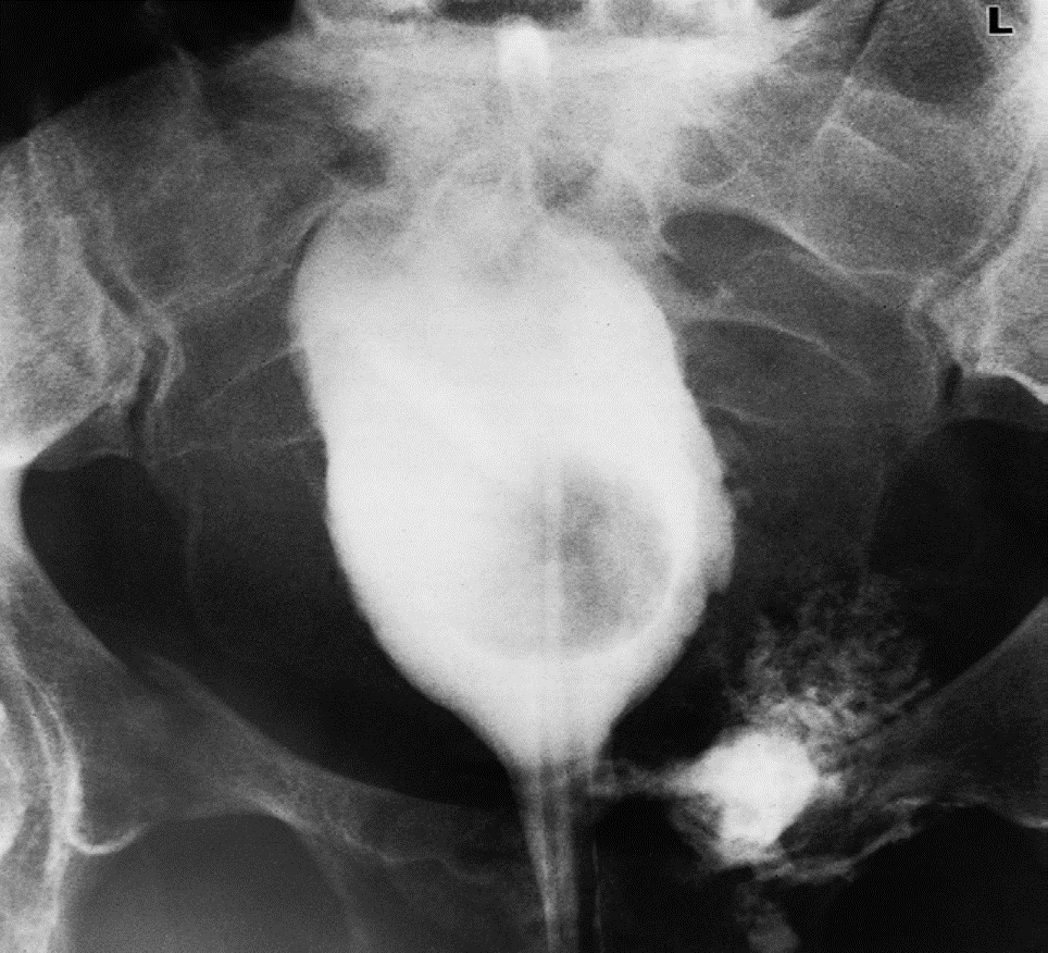
Rupture of the base of the bladder.
Cystogram showing extravasation of contrast into the extraperitoneal space on the left, and deformity of the bladder due to surrounding haematoma and urine. There is a fracture of the right pubic bone.
