Commonest kidney tumor in children. Peak incidence at 3-4 years of age 85% occur before 5 years
CT : Wilms tumors are heterogeneous soft-tissue density masses with infrequent areas of calcification (~15%) . Enhancement is patchy

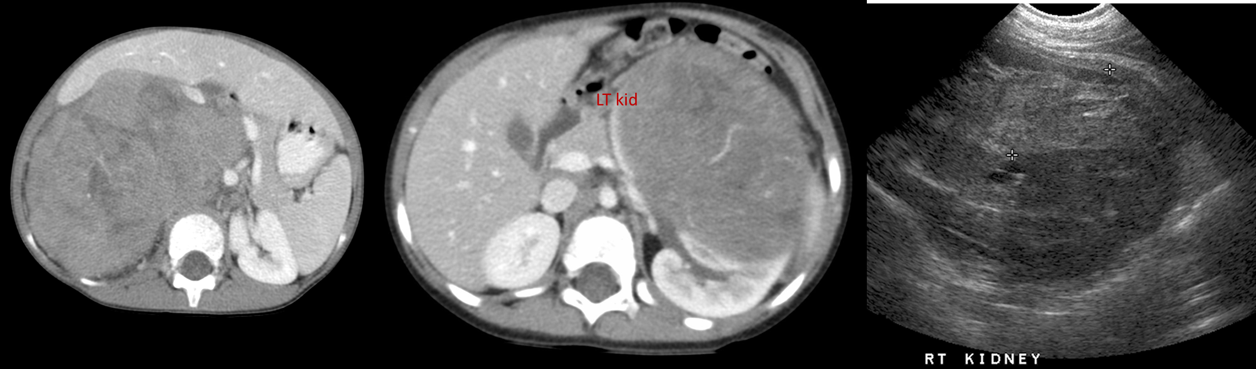
Commonest kidney tumor in children. Peak incidence at 3-4 years of age 85% occur before 5 years
CT : Wilms tumors are heterogeneous soft-tissue density masses with infrequent areas of calcification (~15%) . Enhancement is patchy
