(cc) check answers
Quiz

CASE SCENERIO 1
A 40 yr old smoker hypertensive presenting er with h/o of retrosternal crushing chest pain, breathlessness, sweating since 2 hrs
Initial Assessment
- ABC; Airway, ?? , Circulation; to give medication
- then check vital signs
- then ECG, Troponin
- Acute, Antero (CC)
What will you do next? ECG
What is your diagnosis Acute Anteroseptal myocardial infarction

IF EXG looks like this what is your diagnosis? Acute Inferior MI

CASE SCENERIO 2
30 yo m with history of ankle f 2 weeks ago, c/o sudden onster of chest pain
- PE can happen in any age group
initial assessemnt
- ABC
- Vital sign
- ECG; sinus tachycardia, S1 Q3 T3
- Chest x-ray (West hamptom palla signs) - CT
What will you do next? ECG. X-RAY. CT.
What is your diagnosis Acute Pulmonary Embolism

Pulmonary Angiography (GOLD STANDARD)
•Arrow indicates abrupt termination of a pulmonary artery.

CASE SCENERIO 3
A 65-year-old man comes to the ER with h/o sudden onset of chest pain . He was just about to go out for a meet with his friends.
-
He is a K/C/O hypertension, DM for the past 10 years on medications.
-
He is a smoker
-
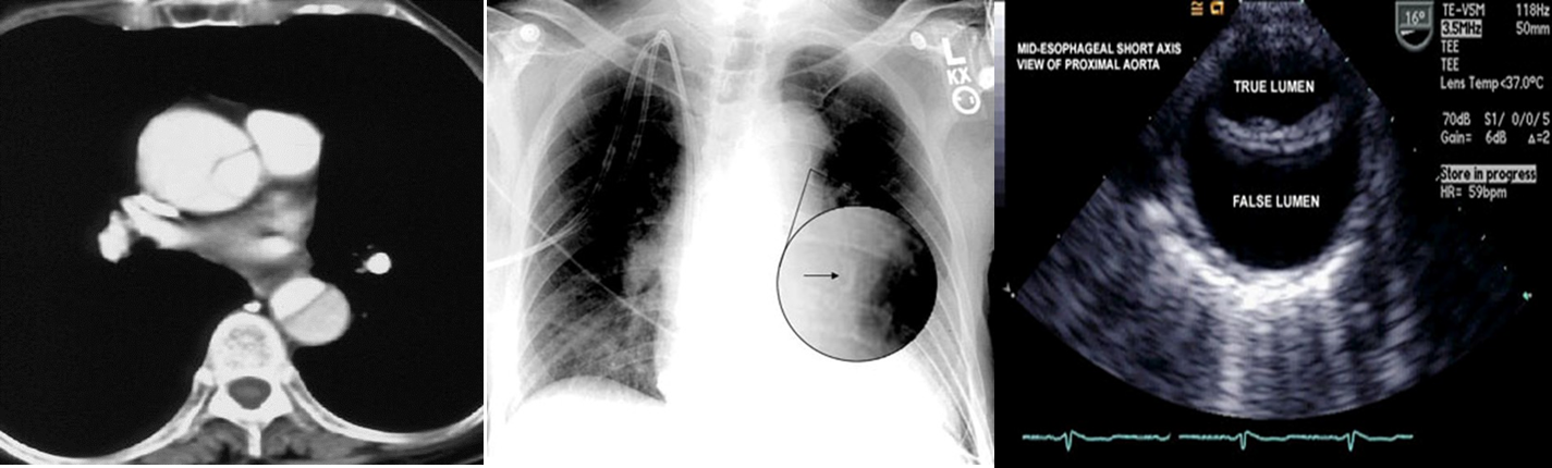
He also C/O inability to move his lower limbs now, Hoarsness of voice, Dysphagaia, his femoral pulses are weak when correlated with his radial BP
-
BP 80/60
-
HR 152
-
RR 32
-
SPO2 88%
-
CVS tachy cardia
-
RS Inadequate chest rise
What is your initial assessment ?
- ABC
- Vital signs
What will you do next? …
What is your diagnosis Dissecting aortic Aneurysm


CASE SCENERIO 4
A 25-year-old tall man comes to the ER with h/o sudden onset of chest pain.
What is your initial assessment ?

What is your diagnosis? Tension Pneumothorax
If a patient present with this ECGs
This is a case of large pericardial effusion (tachycardia, a low voltage recording, and the electrical alternans.

Mediastinal air (pneumomediastinum) Oesophageal rupture

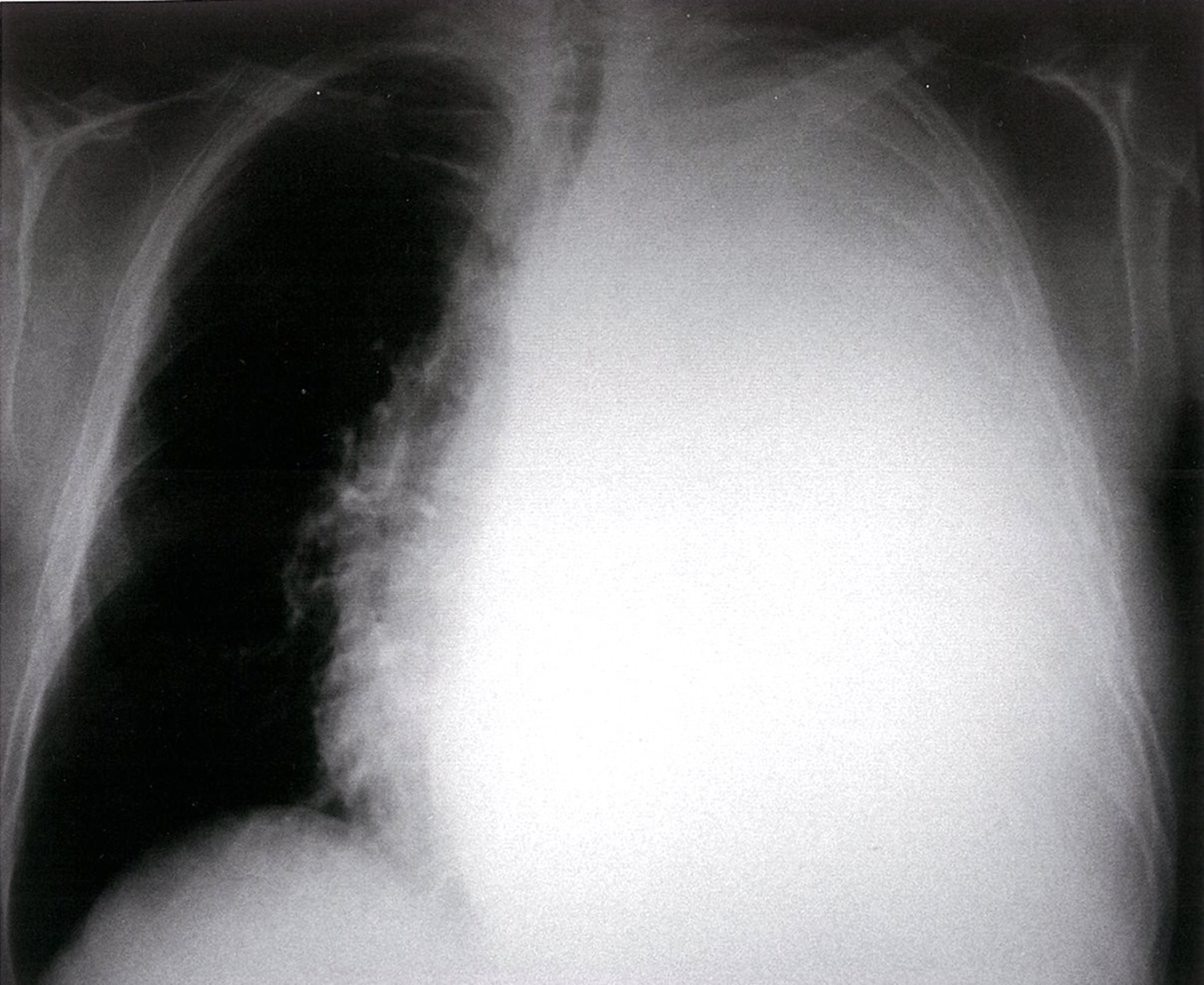
Left Sided Massive Pleural Effusion with Mediastinal Shift

Left upper lobe pneumonia

Herpes zoster
