Internal Medicine
INVESTIGATIONS
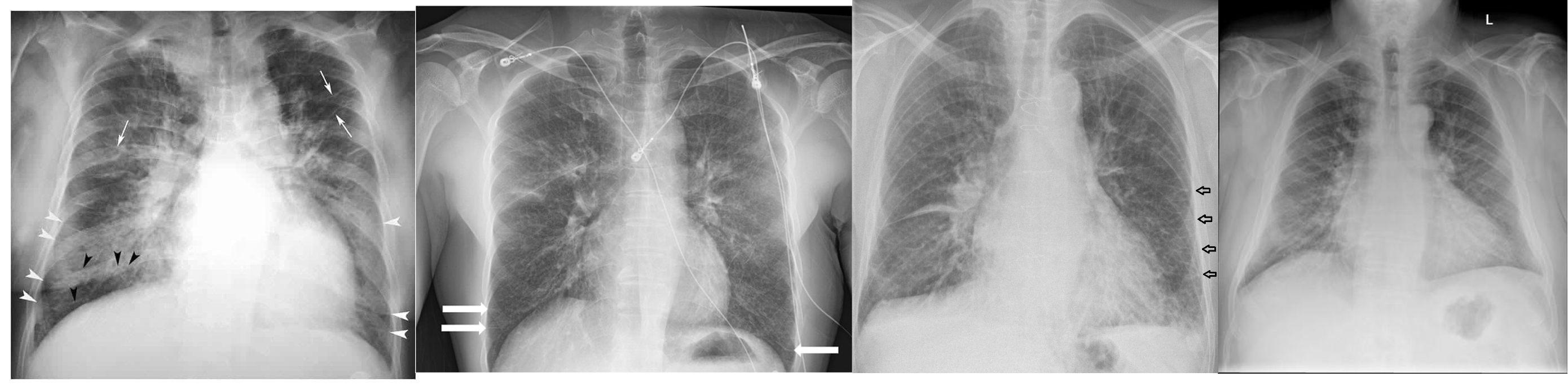
1) Chest X-ray:
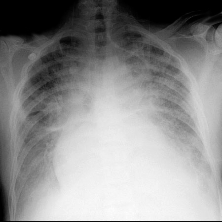
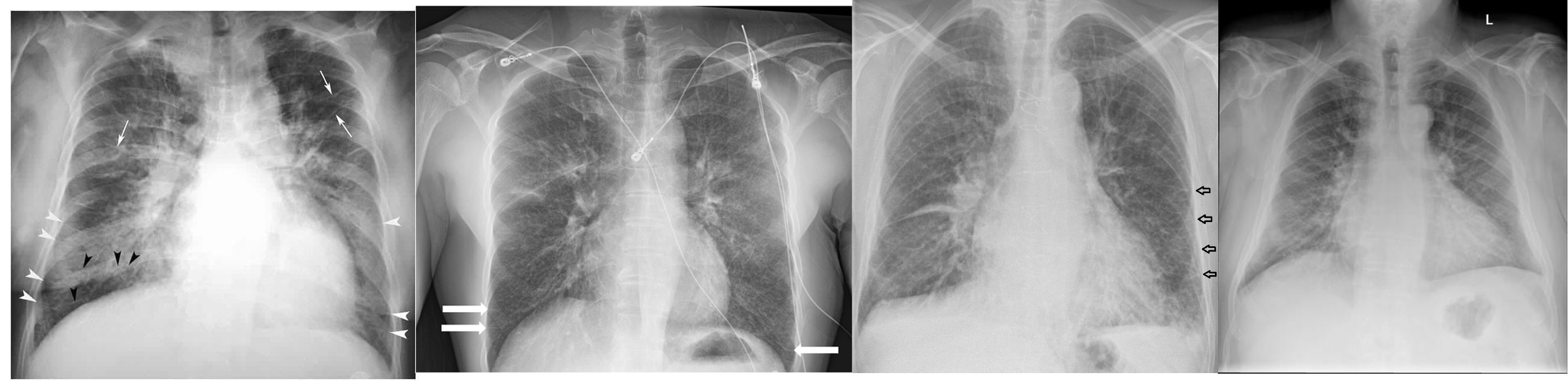
- Cardiomegaly (not in diastolic failure)
- Pulmonary edema
- Pleural effusion
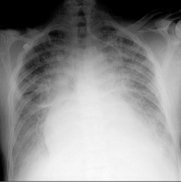
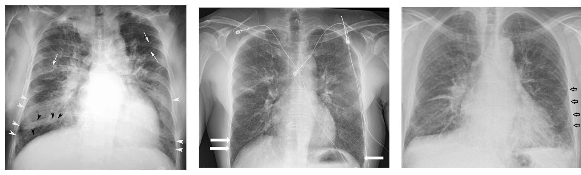
- Kerly B lines (interstitial edema)
(Image: Kerly B lines)
(Image: Cardiomegaly & pulmonary edema)

HOW TO REMEMBER

HOW TO CALCULATE CARDIOMEGALY ON CHEST X RAY
Horizontal diameter of the heart divided by the widest horizontal distance in the chest cavity.
If more than 0.5 → cardiomegaly (How to remember: heart/chest)
2) ECG: May show:
- Ischemia
- HTN changes (?) tall QRS on Lateral chest leads
- Arrhythmias
(CHF does not produce specific ECG changes)
3) 2-D echocardiography: This is diagnostic.
- Shows E.F.
- Systolic & diastolic function
- Chamber & valvular details
4) Serum BNP levels (B-natriuretic peptide)
- BNP levels are raised in CHF
helpful in Differentiating between CHF and Asthma
Other investigations
5) CBC, chemistry, LFTs, cardiac enzymes, lipid profile 6) Nuclear studies: Radionuclide ventriculography (not used too much now) 7) Cardiac MRI: (for myocardial dysfunction) 8) Cardiac cath.: To see the coronary arteries & heart chambers (if ischemia is suspected) 9) Stress test (6, 7, 8, 9 not done routinely)
Therapeutics
- Chest X ray:
- Cardiomegaly
- Pulmonary edema
- Pleural effusion
Kerly B lines( interstitial edema)
Prominent blood vessels in upper lung field (called cephali sation)
How to calculate Cardiomegaly Horizontal diameter of the heart divided by widest horizontal distance in the chest cavity. If more than 0.5 ⇒ cardiomegaly (How to remember: heart/chest)
-
ECG: May show:
- Ischemia
- HTN changes (?)
- Arrhythmias (CHF does not produce specific ECG changes)
-
2-D echocardiography: This is diagnostic.
- Shows E.F.
- Systolic & diastolic function
- Chamber & valvular details
- Serum BNP levels (B - natriuretic peptide)
- BNP levels are raised in CHF This substance is sometimes used to differentiate between dyspnea of heart failure from other causes of dyspnea.
Kerley B Lines

Cardiomegaly & pulmonary edema
