IM/Thera
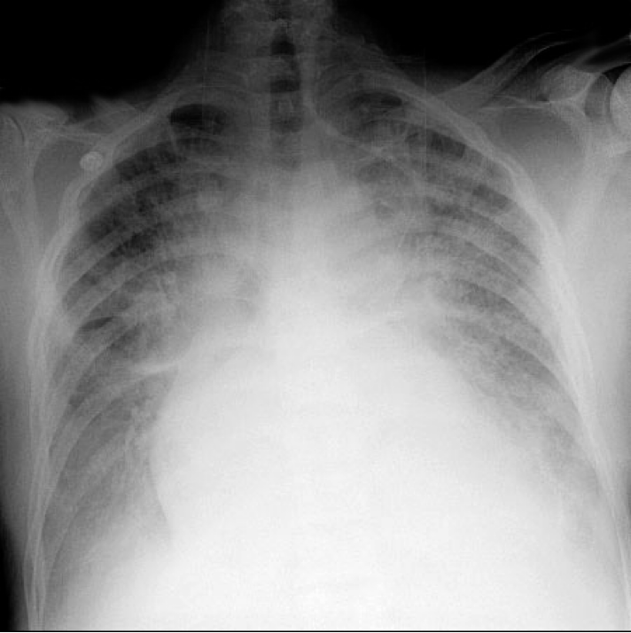
Only the left ventricle is affected
- Failing left ventricle ⇒
- backpressure ⇒
- L atrial dilation ⇒
- backpressure ⇒
- congestion in pulmonary vessels ⇒
- pulmonary edema
Etiologies: HTN, IHD, Aortic stenosis etc, left vent infarct
Pulmonary edema

Only the left ventricle is affected
Etiologies: HTN, IHD, Aortic stenosis etc, left vent infarct
