🩺 MedAtlax

Home

❯

Clinical

❯

Level 9

❯

Pediatrics

❯

Pediatrics Systems

❯

Cardiovascular

❯

Congenital Heart Disease

❯

Pulmonary Atresia

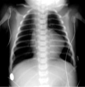
Pulmonary Atresia


Graph View

Backlinks

  • Congenital Heart Disease

Created by Faisal W. Alkharji and friends with ♥️ © 2026

  • Acknowledgement
  • Resources
  • Contact us