Case

Case of high Urea, creatinine, low NA and albumin, proteinurea (all lab values, without normal indices)

1. Diagnosis? Answer: Membrane Change nephropathy

**2.**3 Causes Answer:

  1. SLE
  2. Autoimmune
  3. drugs

3. Treatment Answer:

  1. ACEI for the proteinurea
  2. Corticosteroids.

Case

X Ray of pneumothorax.

1. What abnormalities do you see? Answer:

  1. lucency of left hemithorax
  2. absent broncho-vascular markings
  3. shifted trachea to the right + mediastinum Distended vein Asymetrical chest Mvmt.

2.3 Predisposing causes? Answer:

  1. Trauma
  2. Ruptured alveoli
  3. Cystic fibrosis
  4. Severe asthma.

3.2 important and prompt steps of management Answer:

  1. needle in the second intercostal space midclavicular line to decompress.
  2. Tube in the 5th intercostal space, anterior axillary line, pushed to the back and upward.

Case

ECG of a man who has chest pain after 5 min of staircase climbing

1. abnormalities? Answer: a. Brady cardia (62-65 bpm) b. Prolonged PR interval (7 small squares)

2. Diagnosis? Answer: a. NSTEMI b. With Heart block first degree

**3.**2 further tests? Answer: a. Stress test b. Angiography c. echocardiography

Case

Picture of HSV on chest

1. dermatome? Answer: T3

2. reservoir? Answer: HSV-1

3. complications? Answer:

  1. Post herpitic neuralgia
  2. Herpes simplex encephalopathy.


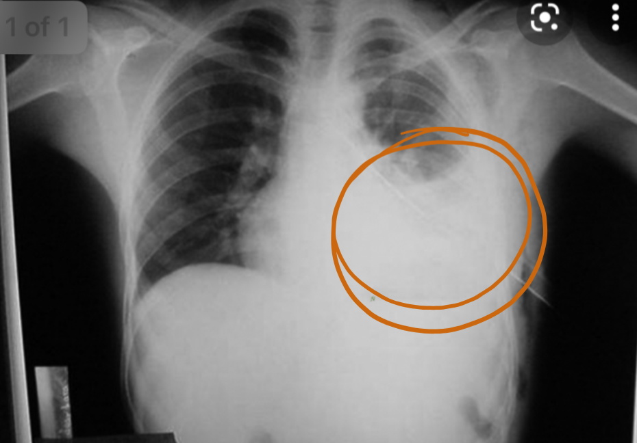
Q1- modality and what is your finding? Chest x-ray, Left lung hemothorax

Q2- signs on examination? Dullness on percussion, Flat vein

Asymmetrical chest movement in inspection

management?  Chest tube in 5th intercostal space, Fluid resuscitation, Thoracotomy (This is the only question that was not from question bank)