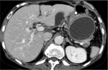
It is a collection of pancreatic secretions and inflammatory exudate enclosed in a wall of fibrous or granulomatous tissue. It is differs from a true cyst in that collection has no epithelial lining. It form commonly in the lesser sac near the pancreas and persist for 4 weeks or more from the onset of acute pancreatitis. It need drainage if it persists more than 6 week after the attack of pancreatitis , the size > 6 cm and symptomatic
