Indications of splenectomy
- Splenic trauma- most common indication, hemodynamic instability
- Purpuras: Idiopathic thrombocytopenic purpura (ITP)
- Haemolytic anaemias: Hereditary spherocytosis, Acq. haemolytic anaemia.
- Hypersplenism
- Left sided portal hypertension
- Myelofibrosis
- Tumours: Lymphomas, haemangioma
- Cyst of spleen
- Splenic infarct
- Abscess
- Splenic artery aneurysm
Uncommon indications of Splenectomy
- Cysts:
- Congenital, degenerative, hydatid disease.
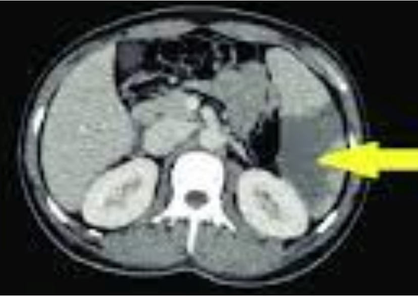
- Infarction spleen: arterial embolism,
- Asymptomatic/ pain LUQ.
- CT: hypo-perfused area
- Splenic abscess
- Splenic artery aneurysm:
- Typically incidental finding, female, rupture during pregnancy.
- Treatment: proximal location – proximal & distal ligation. Distal location- proximal ligation with splenectomy
- Part of other surgery : Distal pancreatectomy, radical gastrectomy for ca.

Complications of Splenectomy
-
Early:
- Haemorrhage (2-5%)
- Organ injury- pancreas (0-6%-open, up to 16%- laparoscopic), splenic flexure, stomach
-
Delayed:
- Fistula- stomach, pancreas
- Sub-diaphragmatic collection
- Left basal atelectasis & pleural effusion
- Thrombocytosis- thrombotic complications
- OPSI- H influenzae, Meningococcus
- Splenosis- splenic rupture, bag rupture in laparoscopic surg.
Effects of Splenectomy
- RBC: Howell Jolly bodies, erythroblasts
- WBC: Leucocytosis
- Platelet: Thrombocytosis, increased adhesiveness. - aspirin; 1 million
- Immunological defects:
- ↓ serum IgM level
- ↓ level of phagocyte promoting peptide
- ↓ response to particulate antigens
Immunization
-
Prone to infection (encapsulated bacteria- Strep pneumoniae, Neisseria meningitides, Haemophilus influenzae)
-
Elective splenectomy: vaccination 2-3 weeks before surgery
-
Emergency splenectomy- vaccination postoperatively - Polyvalent pneumococcal vaccine (pneumovax)
-
Not previous immunized persons:
- Strep pneumoniae (booster dose in 8 weeks)
- Haemophilus influenza type b (Hib)
- Meningococcal type c
-
Life long antibiotic prophylaxis:
- Oral phenoxymethyl penicillin or erythromycin