Stomach & Duodenum
Gastrointestinal stromal tumors GIST
-
Initially thought to arise from smooth muscle cell, thus classified as leiomyomas or leiomyosarcomas.
-
Arise from mesenchymal components
-
2% of all gastric malignancies.
-
Most frequently located in the stomach (60%-70%).
-
Mean age of 60 years at diagnosis.
-
Malignancy is also associated with tumors greater than 5 cm in size, cellular atypia, necrosis, or local invasion.
-
The most common presentations of gastric GISTs are GI bleeding, pain or dyspepsia.

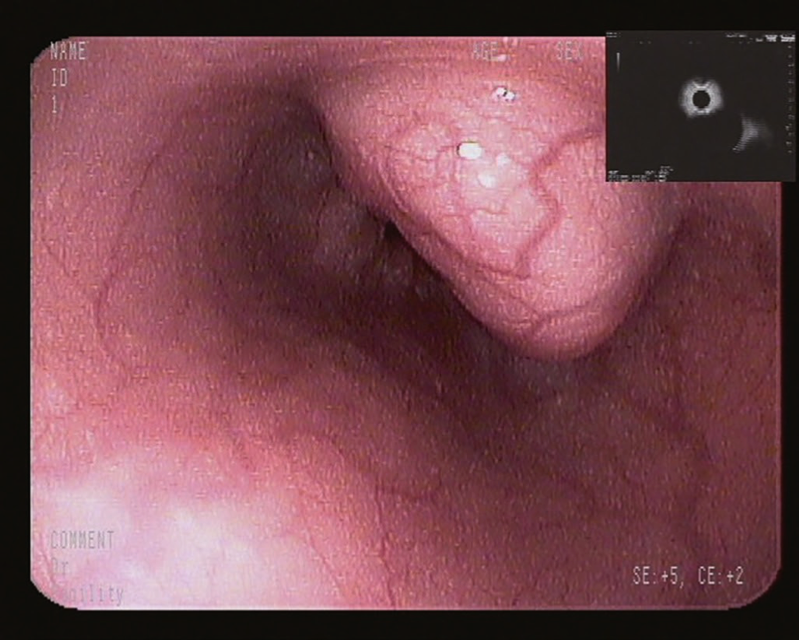
Diagnosis:
- Endoscopy may be the first diagnostic test
- Endoscopic biopsy is diagnostic in about half of cases.
- CT
- The goal of surgery is a margin-negative resection
Small Bowel
Gastrointestinal stromal tumors GIST
Account for less than 1% of GI tumors. GISTs are usually found in:
- Stomach(50-60%) , Small intestine (20-30%), Anywhere along the GI tract
-
Pathologists have shifted from designations such as leiomyoma or leiomyosarcoma to the term stromal tumors (i.e., GISTs).
-
Benign GISTs are 3-4 times more common than malignant GISTs.
-
Malignant GISTs has high local recurrence and metastasis
-
The incidence is equal in men and in women,
-
Most frequently diagnosed in the fifth decade of life.
-
These tumors may grow intramurally and cause obstruction.
- Vague, nonspecific abdominal pain or discomfort (most common)
- Bleeding is the most common indication for surgery in patients with benign GIST tumors.
- Surgical resection is necessary for appropriate treatment. Neoadjuvant vs adjuvant chemotherapy
