🩺 MedAtlax
Search
Search
Dark mode
Light mode
Reader mode
Explorer
Home
❯
Clinical
❯
Level 9
❯
Surgery
❯
Gastrointestinal Surgery
❯
Stomach & duodenum
❯
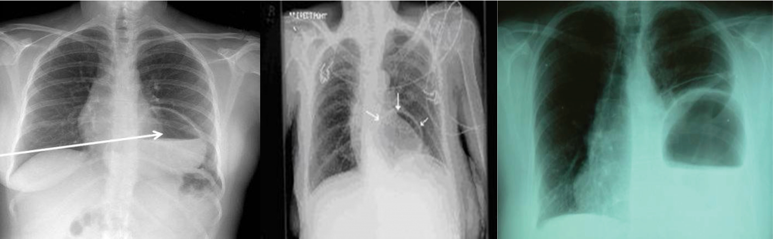
Hiatus Hernia
Hiatus Hernia
Oct 21, 2024
1 min read
urinary??
Graph View
Backlinks
Gastroduodenal