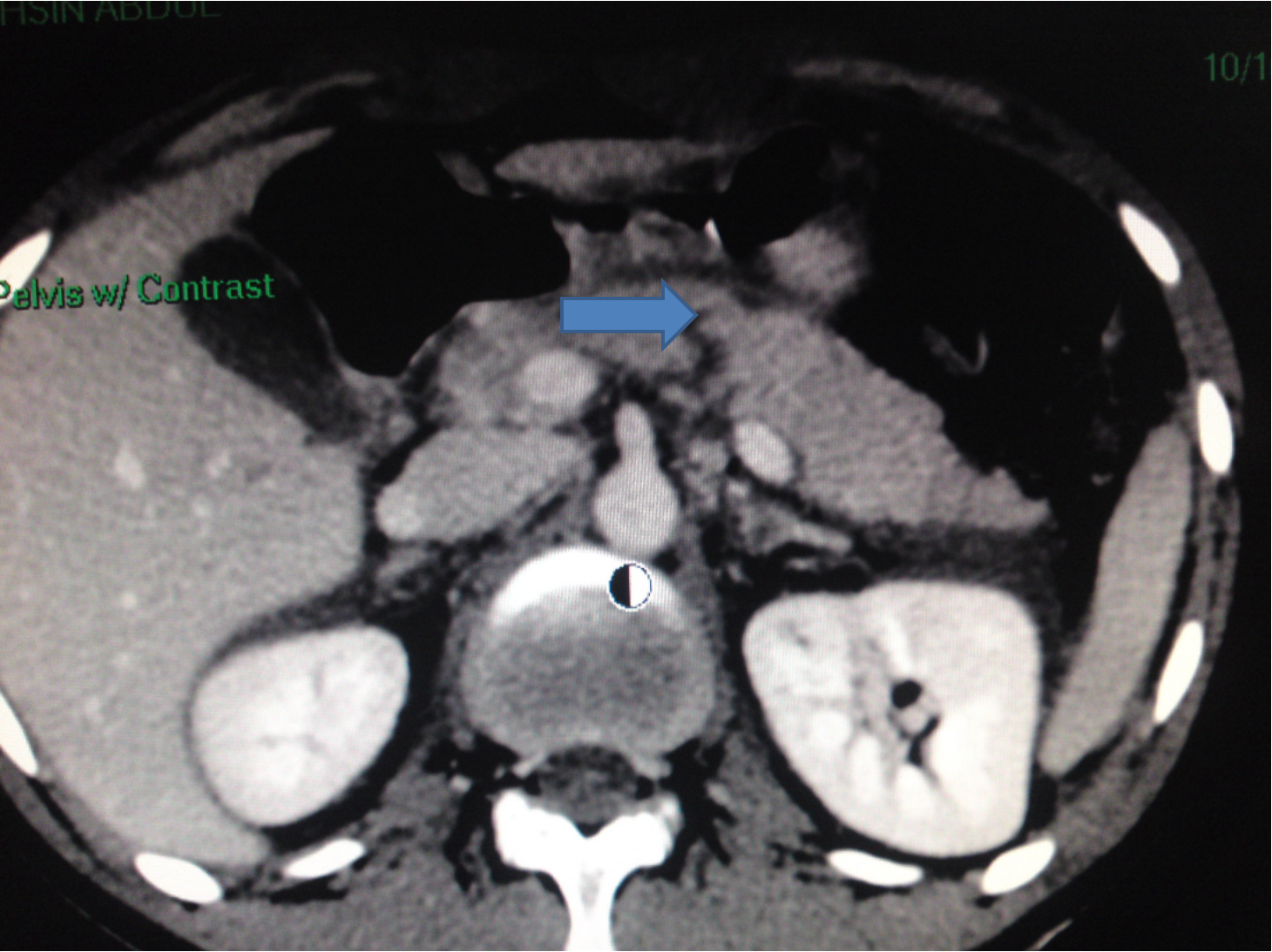
Pancreatic injuries
-
Uncommon.
-
Penetrating injury or direct blow.
-
Diagnosis: difficult
- U/S, CT scan, elevated serum amylase may help
-
Treatment: - No ductal injury: simple drainage - Ductal injury: distal resection

Uncommon.
Penetrating injury or direct blow.
Diagnosis: difficult
Treatment: - No ductal injury: simple drainage - Ductal injury: distal resection
