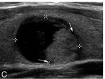
Thyroid Cysts
very painful
- 15-20% lesions are cysts
- Solid area within cyst suggests malignancy. 25% papillary ca. undergo necrosis- appear partially cystic
- Benign cyst- aspiration is curative
Indications for surgery:
- Recurrent cyst
- Malignant cytology of aspirated cyst fluid
- Haemorrhagic fluid
- Residual swelling after aspiration
- Large cyst > 4cm
aspiration
- <4cm
- iodine yellow fluid
- aspirated once, not reccurred
- after cytology of aspiration - no malignancy
- thats all
