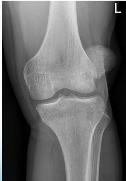
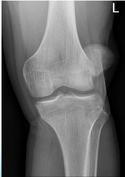
Patellar Dislocation
- More common in adolescent females
- Genu valgus results in pulling patella laterally
- Sudden Quadriceps pull in sports
- May spontaneously reduce
X-rays: Standard knee radiographs
Treatment:
- Self reduction: Reduction easy by itself when patient contracts quadriceps
- Surgery if recurrent
Risk Factors for Recurrence:
- Ligament laxity
- ↑ genu valgum = ↑Q Angle
- High patella




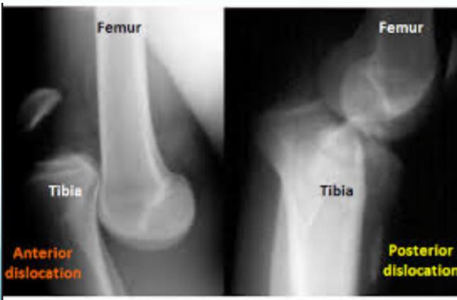
Knee (Tibiofemoral) Dislocation
- High energy: usually RTA
- Gross deformity – must examine neurovascular status
- Popliteal artery at risk
X-ray Findings:
- Dislocation
- Fractured tibial spine (cruciate ligament avulsion)
- Avulsion fibular styloid (collateral ligament avulsion)
Vascular Assessment:
- Even if pulses are intact, perform angiography if there’s suspicion
- Angiography if distal pulses not felt
Management:
- Urgent reduction & vascular intervention if needed
- Then external fixation
- Reconstruction of ligaments (acute or delayed) Surgery






