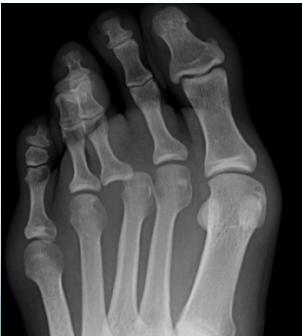
Fingers / Toes Dislocations

Common Causes:

  • Sports, ball games, falls

Treatment:

  • Reduction: Traction & counter traction
  • Immobilization: Finger splint or buddy taping (with next finger/toe)

_page_31_Picture_2.jpeg

_page_31_Picture_4.jpeg

_page_32_Picture_2.jpeg

_page_32_Picture_3.jpeg