Angular Deformities of Lower Limbs

Nomenclature
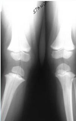
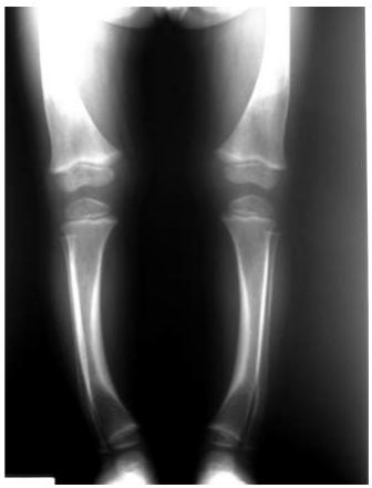
Bow Legs (Genu Varus)

Genu Varus
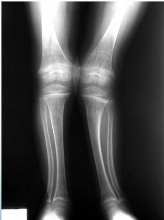
Knock Knees (Genu Valgus)

Genu Valgus
Normal Development by Age
- First year: Lateral bowing of tibiae
- Second year: Bow legs (knees & tibiae)
- 3-4 years: Knock knees
Evaluation of Angular Deformities
The key challenge is to differentiate between physiologic and pathologic deformities.
Physiologic Deformities
- Symmetrical
- Mild to moderate
- Regressive (improves over time)
- Generalized
- Expected for age
Pathologic Deformities
- Asymmetrical
- Severe
- Progressive
- Localized
- Not expected for age
Etiology of Pathologic Deformities
Normal for Age (Exaggerated)
- Overweight
- Early weight bearing
- Use of walker (questionable)
Disease-Related Causes
- Rickets
- Endocrine disturbance
- Metabolic disease
- Injury to Epiphyseal Plate
- Infection / Trauma
 
- Idiopathic
Clinical Assessment
Symmetrical Deformity




Asymmetrical Deformity


Generalized Deformity


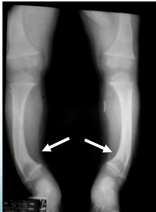
Localized Deformity Examples
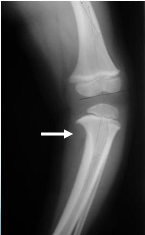
Blount’s Disease

Blount’s disease

Rickets

Rickets - Improves with time


Measurement Techniques
Clinical Assessment (Standing/Supine)
Bow Legs (Genu Varus)
- Inter-condylar distance measurement

Knock Knees (Genu Valgus)
- Inter-malleolar distance measurement

Goniometer Assessment
Use of Goniometer for more accurate and appropriate angle measurement:
- Measures angles directly
- More accurate
- More appropriate


Investigations
Laboratory Studies
- Serum Calcium / Phosphate (if indicated)
- Serum Alkaline Phosphatase
- Serum Creatinine / Urea – Renal function
Radiological Assessment
Indications: X-ray when severe or possibly pathologic
Recommended Views:
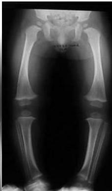
- Standing AP film: Long film (hips to ankles) with patellae directed forwards
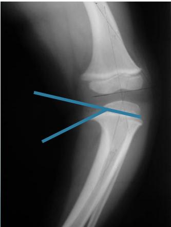
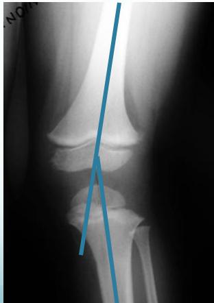
Radiological Parameters to Assess:
- Medial Physeal Slope
- Femoral-Tibial Axis
Conditions to Look For:
- 
Rickets 
- 
Tibia vara (Blount’s disease) 
- 
Epiphyseal injury 
- 
Angle measurements 
- 
Medial Physeal Slope  
- 
Femoral-Tibial Axis  
Referral Criteria
Indications for Referral
Pathologic deformities:
- Asymmetrical
- Localized
- Progressive
- Not expected for age
Exaggerated physiologic deformities (definition varies)


Surgical Management
Surgical intervention may be indicated for severe or progressive deformities.

