- A joint (supination and pronation)
- Anatomical reduction is a must to preserve function
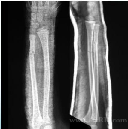
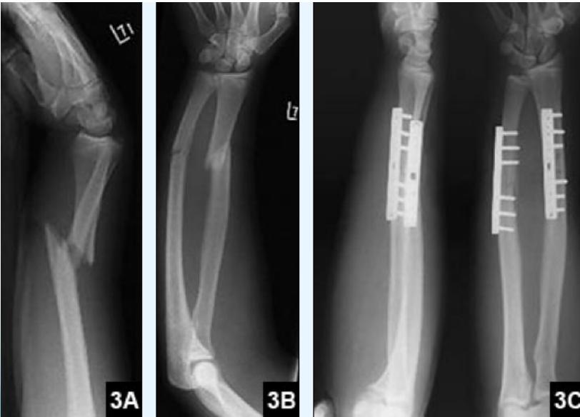
Treatment
- Nondisplaced: Closed reduction, casting, close regular follow-ups
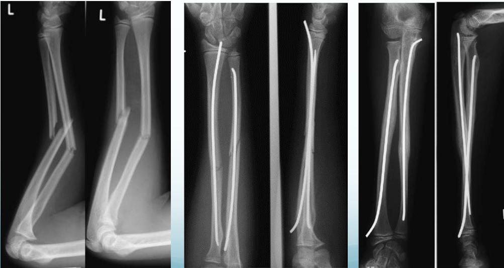
- Unstable or re-displace in cast: Closed reduction, elastic nail
- When ORIF: plating
Age consideration: 14-15 years old - may need plating

Closed Reduction and Casting
- If reduction is stable. Needs close regular follow-ups
- More stable when fractures are not at same level
 

Intramedullary Elastic Nail
- 2 fractures at the same level = 100% unstable
- When unstable or re-displaces in cast
 Teddy Slongo, Bern, Switzerland
Teddy Slongo, Bern, Switzerland
Plating
