Physeal Histology
- Physis: 4 zones
- Germinal zone
- Proliferative zone
- Hypertrophic zone
- Enchondral ossification
 

Epidemiology
- Incidence:
- 20% of all skeletal injuries in children
- 50% occur in the distal radius
 
- Problems:
- Some are intra-articular
- Possibility of growth affection
 
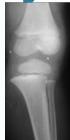
Classification – Salter-Harris

- Type I - Through the physis
- Type II - Through the physis with small piece of metaphysis (75%)
- Type III - Through the physis and extend to intra-articular
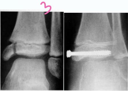
- Type IV - Metaphysis + physis + Intra-articular
- Type V - Cause growth arrest “Compression”
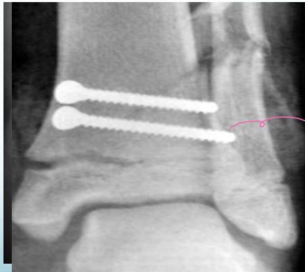
Treatment of Physeal Injuries
Extra-articular (Type I / II)
- Stable: conservative
- Unstable: K-wire / screws with cast
 
 
 
 

Intra-articular (Type III / IV)
- Anatomical reduction and internal fixation
 

Compressed Type (Type V)
- Doesn’t appear on x-ray at first
- Cast & healed but prognosis is unpredictable
- Usually causes affection of growth arrest
- Diagnosed in retrospect!
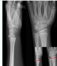
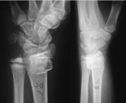
 Injury films
Injury films
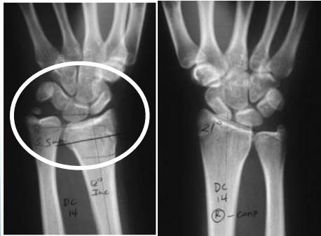
 Injured and uninjured wrists after premature physeal closure
Injured and uninjured wrists after premature physeal closure
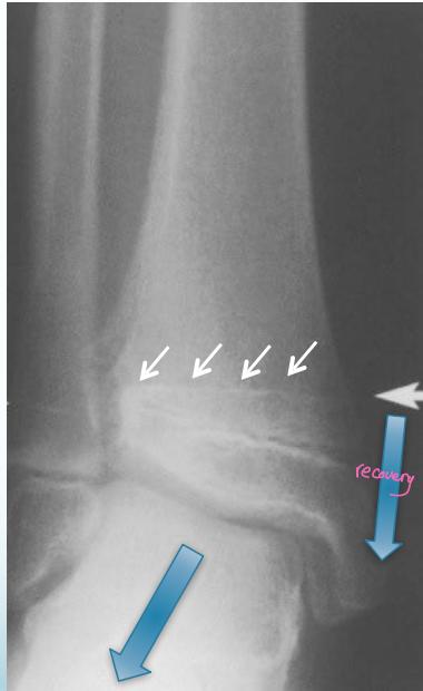
Asymmetrical Physeal Affection
- Seen on x-ray
- One side grows more than the other
- Causing an increasing deformity
- Oblique Park-Harris growth arrest/recovery line (white arrows)

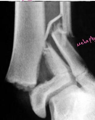
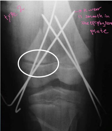
Case Example: 12-year-old male, Salter-Harris Type II
 
