IM

Diabetic Nephropathy

Types:

  • Most common cause of ESRD (end-stage renal disease)
  • Starts with microalbuminuria (30-300mg of albumin lost in 24 hrs. urine)
  • Progresses to macroalbuminuria (more albumin lost in the urine) finally, causes nephrotic syndrome

Pathology (biopsy):

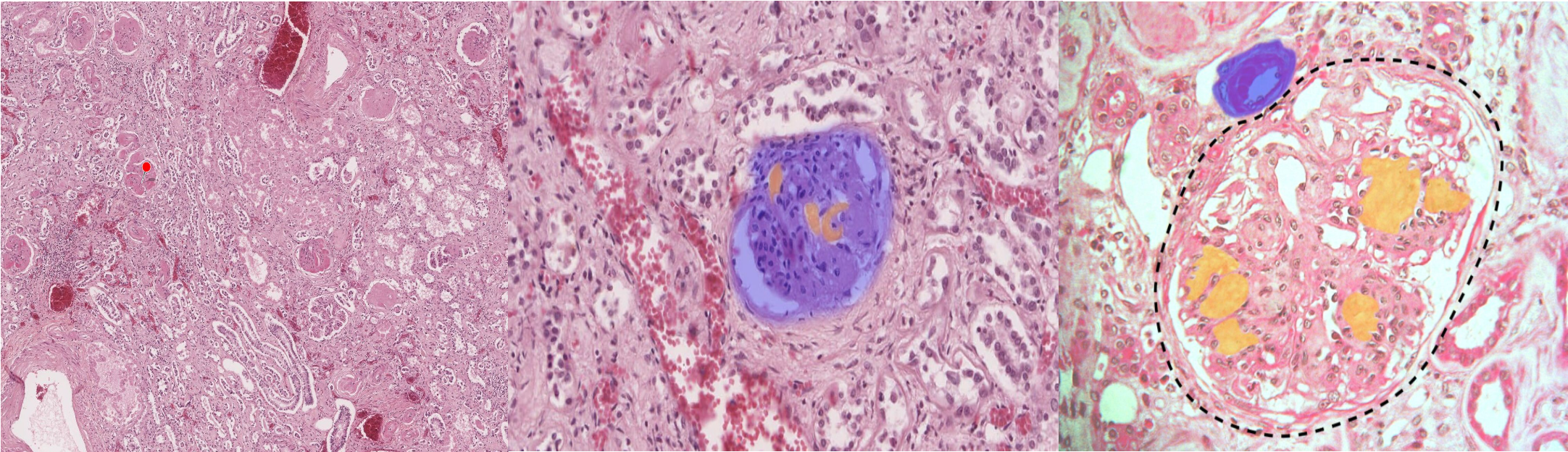
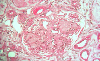
  • LM: Sclerosis in the glomerulus & mesangium (Kimmelstein-Wilson nodules). Eosinophilic nodular glomerulosclerosis
  • Thick GBM
  • No immune deposits

Treatment:

  • Strict DM control
  • ACE inhibitors (first choice) or ARBs
  • Pentoxyphylline & Atrasentan CC?

Glomerulus (dashed outline) features a thick basement membrane: contains abundant pink, hyaline agglomerations of PAS-positive material known as Kimmelstiel-Wilson nodules (green overlay). These findings indicate nodular glomerulosclerosis, which is pathognomonic of diabetic nephropathy.



Therapeutic

  • About 20 – 30% of patients with diabetes develop diabetic nephropathy.

Pathophysiology: it is 3 stages

1- Hyperglycemia increase GFR hypertension. (hypertension is also aggravated by activation of renin angiotensin system which cause efferent arteriole vasoconstriction)

2- excess production of reactive oxygen species ,inflammatory cytokines lead to damage of endothelium and increase permeability (albuminuria >300 mg/day).

3-Nephron ischemia (due to damage of mesangial vasculature & vasoconstriction from renin angiotensin system) infarction& fibrosis of nephron decrease GFR .

Diabetic Nephropathy managment

  1. Hyperglycemic control
  2. Antihypertensive drugs
  3. in end stage with decrease in GFR :
    • Renal dialysis.
    • Renal transplant.

Microscopic features of diabetic nephropathy

  1. Glomerular lesions

    • Nodular glomerulosclerosis: ‘’Kimmelstiel-Wilson lesion’’- nodules in periphery of glomeruli

    • Diffuse glomerulosclerosis.

  2. Renal vascular lesions -Hyaline arteriolosclerosis in afferent &efferent arterioles -Atherosclerosis in renal artery

  3. Pyelonephritis