Depends on hydrogen concentration - MRI results in alignment and discord of these hydrogen for imaging.
- **Advantage: Provides high detail mainly soft and nervous tissue
- Disadvantage: Ferromagnetic material (iron, nickel, and cobalt).
(non ferromagnetic; gold, alimunuim, plastic, silver, titanium) Z
Intensity: MRI images display not only morphological features but also characteristic signal intensities for every type of normal and abnormal tissue.
- Hyperintensity: Tissue has higher signal intensity and appears brighter than surrounding or normal tissue.
- Hypointensity: Tissue has lower signal intensity and appears darker than surrounding or normal tissue.
- Isointensity: Signal intensity and tissue brightness are the same as those of surrounding or normal tissue.
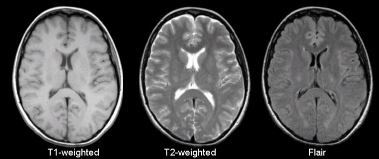
Water appears hypointense in T1 weighted images but hyperintense in T2 weighted images! WW2: “Water looks white in T2” #z
| Sequences | Hyperintense | Hypointense |
|---|---|---|
| T1-weighted | Fat, adipose tissue (white brain matter) Contrast media | Water (CSF, edema ) Bone Ligaments, tendons Air (no signal) |
| T2-weighted | Water (CSF, edema ) Fat (less hyperintense than in T1) | Bones Ligaments, tendons Air (no sign |


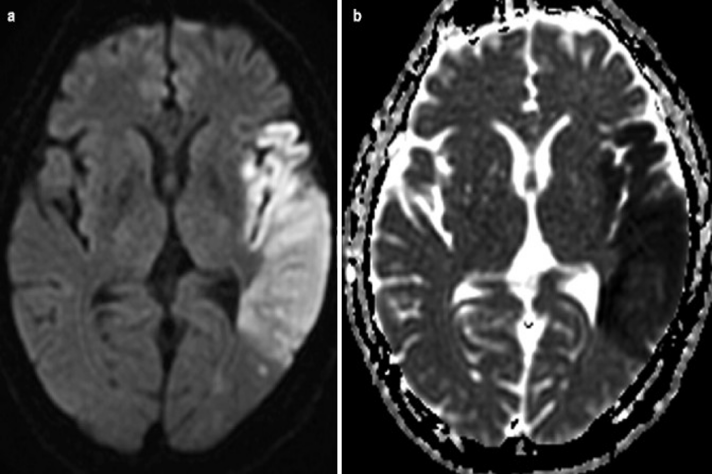
Diffusion weighted images

