Medical Imaging:
refers to several different technologies that are used to view the human body in order to diagnose ,monitor, or treat medical conditions.
Diagnostic Imaging Modalities:
- X-ray
- Ultrasound
- Mammography
- MRI
- CT Scan
- Fluoroscopy - (real time imaging, contrast often used)
- Angiography
- Nuclear Medicine (Scintigraphy),
- PET Scan conventional,Spect/Pet and PET/CT fusion
Which of these modalities use ionizing radiation?:
Mammography, X-rays, PET, CT
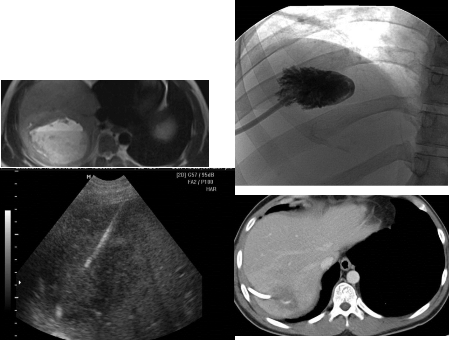
RUQ pain in a middle age patient.
Identify these four imaging modalities used in this patient?
