Mainly to assess behind bone, with eliminating gasses for image to be in better quality.
Best action directed to fluids: hydrocephalus, Amniocentesis, Pleural effusion, ascites, gall bladder stones etc⦠Z

-
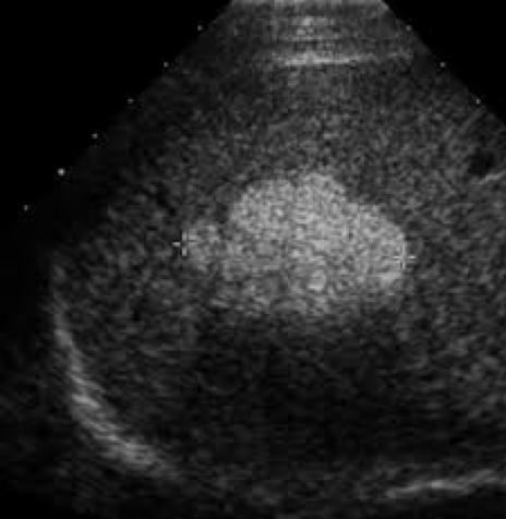
Echoic definition - Hyper, Iso (similiar echonigicity, normal tissue), hypo, ane (very black). HyperechoicĀ ā More echogenic (brighter) than normal.Ā Hypoechoic ā Less echogenic (darker) than normal.Ā Isoechoic ā The same echogenicity as another tissue.Ā Anechoic - Black than normal
-
High frequency of 2-20 MHz
-
Used Endoscopically (Trans; rectally, vaginally, esophageally, gastrically) to better evaluate internal organs and otherwise difficult to evaluate structures such as theĀ prostate,Ā ovaries,Ā heart valves, andĀ pancreas.
Advantages: Low cost, quick, safe with no radiation, availability, portable, non-invasive
Disadvantages: Z
- Cant penetrate bone, nor air/gasses
- Needs skill; operator dependent
Acoustic shadow:
If ultrasound waves are strongly absorbed and echoed at the surface, the waves will fail to penetrate the tissue. All structures behind the surface will appear black. - Hypo-echoic shadow

Acoustic enhancement:
- BecauseĀ ultrasound waves are hardly weakened in fluids, structures that are located behindĀ fluid-filledĀ spaces will appearĀ hyper-echoic shadow (brighter).
- Ultrasound is often used to Z **determine whether the structure is solid or cystic

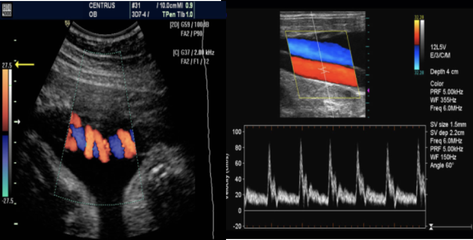
Doppler ultrasound
Doppler studies are used to detect #Z venous thrombosis, arterial stenosis and occlusion.
Ā Doppler or duplex mode used to visualize motion within structures, e.g., the velocity and direction of blood flow.
In obstetrics, Doppler ultrasound is used particularly to Z determine fetal blood flow through the umbilical artery
With Doppler echocardiography it is possible to demonstrate Z Regurgitation through incompetent valves.
