Of all brain tumors, approximately one-third are gliomas, one-third metastases and one-third non-glial tumors.
Important features to narrow the differential are the patient’s age, the location of the lesion (intra- versus extra-axial and site in brain), density or signal characteristics and the enhancement pattern.
- Intra-Axial / Extra-Axial
- Supratentorial / Infratentorial
- Infratentorial tumors are more common in children
Common tumors
- Primary
- Gliomas
- Meningioma.
- Germ cell tumors
- Pituitary tumors
- Pineal region tumors
- Metastatic brain tumors
BRAIN TUMORS
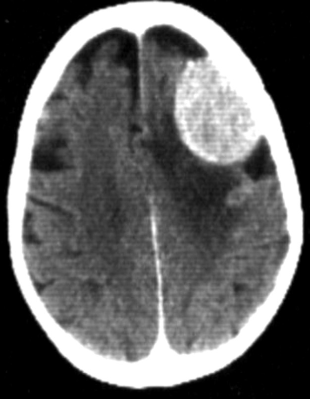
- Definition - well defined
- Shape - Oval shape
- site - Fronto-parietal
- Size - 4x3 cm
- Enhancement - Homogenous
- Oedema
- Sulci,
- ventricles Normal
