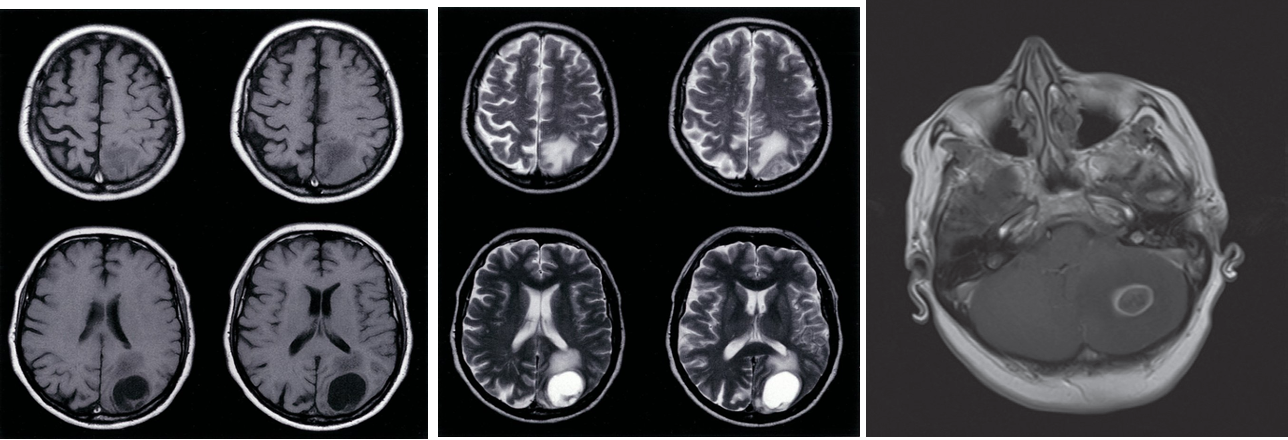
- Metastases are typically multiple
- Well-circumscribed tumors at the junction of gray and white matter.
Small metastases: Homogeneous enhancement Large metastases: Ring enhancement due to central necrosis
A parenchymal lesion in the posterior fossa of an adult should be considered to be a metastasis until proven otherwise.

MRI head (T1 & T2-weighted; without contrast; axial plane) of a patient with lung carcinoma. A solitary, well-circumscribed, predominantly hypointense (T1) hyperintense (T2) mass in the left occipital lobe is accompanied by perifocal edema
Enhanced T1-weighted MRI scan showing a ring-enhancing cerebellar metastasis