Firearm Wounds
Medicolegal view
Objectives:
To know the following
- definition and classification of wounds
- the type of trauma and wounds of medico-legal importance
- factors affecting the wound
- estimate the date of wound occurrence
- different types of wounds
- complications of wounds
Firearm
“An instrument or device with which it is possible to propel a projectile by means of the expansive force of the gases generated by the combustion of an explosive substance”
Revolver
- S&w 40XvK Magnum

Pistol
The image presents a collection of various pistols, showcasing different types and designs. The pistols are displayed in a images format, with each image highlighting a unique aspect of the firearms.
- The top-left image features a semi-automatic pistol with a silver finish and a brown grip, set against a red background.
- The top-right image displays a Derringer-style pistol with a silver finish and a black grip, positioned on a beige surface.
- The bottom-left image presents two antique pistols:
- Flintlock Pistol: An older design with a brown handle and silver accents.
- Percussionlock Pistol: Another antique design with a brown handle and silver accents.
- The bottom-right image showcases a modern pistol with a black finish and a tactical accessory attached to the barrel, set against a dark blue background.
The image provides a visual representation of the evolution and diversity of pistol designs, from historical to modern times.

Rifle

The component of firearm:
Parts of a Rifle
- Receiver
- Bolt
- Rear Sight
- Front Sight
- Stock handle of firearm
- Trigger
- Safety helps to prevent accidental firing
- Trigger Guard (housing)
- Magazine
- Barrel Metal tube that Projectile Travels Through

Parts of a Handgun
Pistol & Revolver
-
Pistol:
- Rear Sight
- Slide Stop
- Barrel
- Front Sight
- Muzzle
- Grip Safety
- Magazine Release
- Trigger
- Trigger Guard
- Grip
- Magazine
-
Revolver:
- Muzzle
- Cylinder
- Barrel
- Hammer
- Trigger

Parts of a Shotgun
- Stock
- Safety Mechanism
- Breech Bolt
- Receiver
- Trigger Guard (housing)
- Trigger
- Ejection Port
- Fore-End or forestock
- Magazine Cap
- Barrel
- Muzzle
- Front Sight

Ballistics
- THEORETICAL
- Interior ballistics
- Exterior ballistics
| | V
- PRACTICAL
- Wound ballistics
- Clear Concept
INTERIOR BALLISTICS
Knowledge of the forces responsible for propulsion of projectile within the bore of the barrel till the end of the projectile.
Firearm Design
- Grip
- Action
- Barrel
- Barrel
- Action
- Grip or Butt Stock

Classification of Firearms
Classified on the basis of barrel
- Barrel
- Steel tube for jetting of the projectile. Two ends --- Breach & Muzzle end
- Bore
- Internal diameter of the barrel. May be SMOOTH or RIFLED

Ammunition Design
Projectile consists of:-
- Cartridge Case
- Primer
- Powder charge (Black or Smokeless)
- Plastic Wad
- Shot charge (Bullet or Lead shots)

CARTRIDGE CASE
Function: expands and seals chamber against rearward escape of gases.
Composition: usually brass (70% copper 30% zinc); also plastic and paper in shotgun shell tubes.
Shape:
- (a) straight (“always” pistol ammunition)
- (b) bottleneck (“always” rifle ammunition)
- (c) tapered (“obsolete”).
Headstamp: manufacturers identification imprinted or embossed on cartridge case.
Primer
The major primer elements are Lead styphnate(Pb), Barium nitrate (Ba), or a Antimony sulphide(Sb). Usually, all three are .present Less common elements include Aluminum (Al), Sulfur (S), Tin .(Sn), Calcium (Ca), Potassium (K), Chlorine (Cl), or Silicon (Si) Primer elements may be easier to detect in residues because they do not get as hot as the powder, and compounds (not just elements) may be detectable. (Tassa et al, 1982b)
Various types of Ammunition
HANDGUN
- .45 ACP
- 9mm
- .38 Special
- .224 BOZ
RIFLE
- FN SS-190 5.7mm
- 5.56mm
- 7.62mm

Chain of Events
- Strike
- Primer ignites
- Powder charge burns
- Temperature increases
- Gases produce
- Chamber pressure increases
- Bullet/Shot charge moves
- Exit of bullet
- Chamber pressure zero
Gases produced: Carbon dioxide, Carbon monoxide Nitrogen, Sulphurated hydrogen
Exterior Ballistics
Knowledge of forces acting on the shot while it “leaves the barrel till it reaches the target”
-
Velocity of bullet at the muzzle end for various firearms: i. Revolver:- 600 - 900ft/sec ii. Pistol:- 1200 - 1440 ft/sec iii. Rifle:- 2000 - 3500 ft/sec
-
Forces present in the medium a. Air resistance b. Gravity
Mechanism of Wound production
- Laceration & Crushing
- Shock waves
- Cavitation
Laceration & Crushing
—— produced by the direct effect of bullet
- SHOCK WAVES

Types of cavitations
- Temporary:
- Permanent:
Cavitation … created by the bullets travelling at speeds > 1000 ft/sec Size & shape depends upon the capacity of the bullet to disperse energy in the surrounding tissues
Effects of Cavitation
Stretches & damages smaller blood vessles, nerves & even bones
Figure 3-2 Appearance of temporary cavities in gelatin blocks due to (A) full metal jacketed rifle bullet, (B) hunting rifle bullet, and (C) shotgun pellet.

M/L Importance of Wound Ballistics
- Recognition of Entry & Exit wounds
- Distance of Fire.
- Direction of fire & Wound track.
- Relative position of weapon/victim & angle of fire.
- Cause of death.
- Manner of death.
- Identification of firearm.
Components of a Shot responsible for damage
- Shot charge (bullet/pallet)
- Flame & heat
- Hot explosive gases
- Smoke
- Wad
- Unburnt gun powder - tatoing
- Grease from the barrel
Firearm-wound complex has four parts:
- An entry wound
- A track with its direction
- Place of resting of bullet or shot-charge.
- Exit wound
ENTRY WOUND
- SINGLE HOLE:
- SIZE : depends upon skin elasticity, tail wag, explosive blast effect of gases so either proportionate to the diameter of the bullet, SMALLER or much larger having STELLATE SHAPE.
- SHAPE: depending upon the angle of firearm with the target. Circular, Oval, Elliptical, An elongated furrow.
- Inverted margins. May be everted.
- Collar of abrasion: shape depends upon the angle of firearm with the target.
FLAME

BURNING

SMOKE

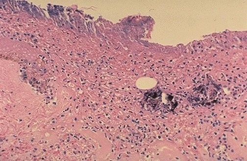
Carbon particles scattered on HISTOLOGICAL examination
Carbon particles scattered on HISTOLOGICAL examination

Burning: Few inches in case of revolver & one foot in case of a Shotgun

Blackening: Absent after one yard
- Burning: Few inches in case of revolver & one foot in case of a Shotgun
- Blackening: Absent after one yard
Tattooing (due to unburnt gunpowder particles)
They pierce under the superficial skin layers causing “punctate abrasions of smaller blood vessels under the “skin
Beyond 2 yards, tattooing is not present
by Naseeb R. Awan
Un-burnt gunpowder particles pierce the skin while blood stains are washable
- Tattooing
- Blood stains

Skin changes
- Bruising (at or around entry wound due to general tissue trauma) MUZZLE IMPRINT, Gases of the blast ballooning & bruising the skin/Vital reaction / Inflammatory reaction
- Collar of Abrasion: Rub raw of the superficial skin layers while projectile enters the skin. More prominent in rifled firearms due to their rotational motion
Collar Of Abrasion

Classification of Firearm Rifled Entry wound depending upon distance/range
Contact entry wound
- Hard/Firm contact
- Loose contact
FEATURES OF ENTRY WOUND: DISTANT RANGE
- Hole
- Collar of Abrasion
- No flame & gun powder effect.

Close Range Firearm Entry wound
- Examination of clothes is important
- Burning, blackening, tattooing present
- Collar of abrasion present
- Wad maybe present in the track in case of smooth bored firearm
Firearm Exit Wound
- There may be no exit wound
- May be multiple exit wounds of one entry wound due to Secondary missiles
- May be large typical exit wound with everted margins
- No close range characteristics
- Shored exit wound: Collar of abrasion present
Bullet through a glass
- Intermediate tail wag
- Secondary missiles

Shotgun Entry wound complex

Loose contact shotgun wound and a larger, more ragged exit wound.
- Entrance
- Exit

Difference Between Entrance And Exit Wounds
- VS
- Bullet Entrance Wound
- Bullet Exit Wound

Shotgun pellets 1

Shotgun pellets 2



