Menopause
By Dr. Mona Ahmed

Definition
- The menopause is defined as the woman’s final menstrual period
- and the accepted confirmation of this is made retrospectively after 1 year of amenorrhoea.
- The cause of the menopause is cessation of regular ovarian function.
- There is great heterogeneity in the experiences of different women as they go through the menopausal transition and several descriptive phrases.
Descriptive Terms for Menopause
- Menopause: the last menstrual period (LMP)
- Perimenopause: Time from the onset of ovarian dysfunction until 1 year after the last period. and is also known as the climacteric.
- Postmenopause: all women who have been 1 year since their last period.

Physiological Menopause
Timing of the Menopause
The median age of between 51 and 52 years.
Menopause occurs at the time of the depletion of oocytes from the ovary and is irreversible.

Diagnosis
-
The diagnosis of menopause is a largely clinical diagnosis that is made according to symptoms such as - menstrual irregularities and - Amenorrhoea - oestrogen deficiency symptoms, such as vasomotor symptoms.
-
Investigations:
- An elevated serum FSH & low serum oestradiol
- LH Serum Prolactin
- pregnancy test.
- AMH
- TFT
- US
- Karyotyping.
- Ovarian biopsy.
- A dual emission X-ray absorptiometry (DEXA).
Premature Ovarian Insufficiency
-
Premature ovarian insufficiency If menopause occurs before the age of 40 years.
-
It is defined as premature ovarian insufficiency (POI) or premature ovarian failure (POF), or premature menopause.
-
It occurs in approximately 1% of women under 40 years and 0.1% under 30 years.
-
POI is usually diagnosed following either: primary or secondary amenorrhoea.
-
Women who have POI can experience unpredictable spontaneous ovarian activity, resulting in irregular vaginal bleeding and the small risk of pregnancy.
-
While no cause is found in most cases of primary POI, a suspected case should be investigated.
Principal Causes of Premature Ovarian Insufficiency
Primary
- Chromosome anomalies (e.g. Turner’s)
- Autoimmune disease (e.g. hypothyroidism, Addison’s, myasthenia gravis)
- Enzyme deficiencies (e.g. galactosaemia, 17a-hydroxylase deficiency)
- Idiopathic.
Secondary
- Chemotherapy
- Radiotherapy
- Infections (e.g. tuberculosis, mumps, malaria, varicella)
- Medical causes
- Surgery
Effects of the Menopause by Time of Onset
| Time Frame | Symptoms |
|---|---|
| Immediate (0–5 years) | Vasomotor symptoms, (e.g. hot flushes, night sweats) Psychological symptoms (e.g. labile mood, anxiety, tearfulness) Loss of concentration, poor memory Joint aches and pains Dry and itchy skin Hair changes Decreased sexual desire |
| Intermediate (3–10 years) | Vaginal dryness, soreness Dyspareunia Urgency of urine Recurrent urinary tract infections Urogenital prolapse |
| Long term (>10 years) | Osteoporosis Cardiovascular disease Dementia |
Most women complain of some change in memory and global cognitive function around the time of the menopause.
The genital tract Changes in menstrual bleeding are amongst the key symptoms and signs
Genital tract such as the vulva, vagina and urinary tract may also be affected.
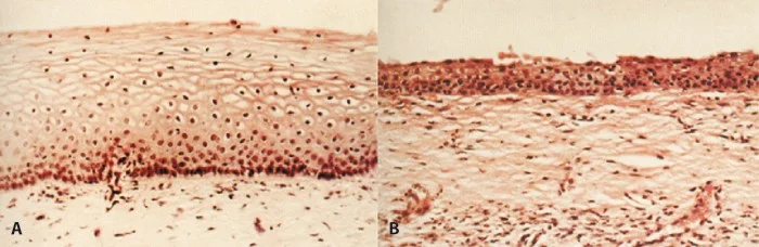
Vaginal Epithelium Changes
Vaginal epithelium in a (A) premenopausal woman and (B) a postmenopausal woman showing atrophic changes. Note the loss of epithelial structure and architecture.
Bone Changes
Electron micrograph of trabecular bone showing (A) normal structure and (B) osteoporotic bone. Note the loss of architecture and density in (B) making the bone weaker and more prone to fracture.
Risk Factors for Osteoporosis
- Family history of osteoporosis or hip fracture.
- Smoking.
- Alcoholism.
- Long-term steroid use.
- POI and hypogonadism.
- Medical treatment of gynaecological conditions with induced menopause.
- Disorders of thyroid and parathyroid metabolism.
- Immobility.
- Disorders of gut absorption, malnutrition, liver disease.
Modifiable and Non-Modifiable Risk Factors Affecting Health and Longevity
-
Relevant symptoms :
- Vasomotor.
- Urogenital tract, including sexual concerns.
- Cognition.
- Joint pains.
- Vaginal bleeding (if relevant).
-
Signs :
- Blood pressure.
- BMI.
- Vaginal assessment including cervical smear.
- Breast examination if indicated.
-
Lifestyle
- Exercise levels.
- Nutrition.
- Smoking and alcohol intake.
Beneficial Effects of Various Lifestyle Changes in Postmenopausal Women
| Lifestyle Change | Beneficial Effects |
|---|---|
| Stopping smoking | - Prevention of lung cancer - Reduction of CVD - Beneficial effects on bone loss |
| Reducing alcohol consumption | - Reduction of calorie intake - less vasomotor symptoms - Beneficial effects on bone loss - Prevention of alcohol-related liver damage - Reduction in breast cancer - Reduction of CVD |
| Normal BMI | - Reduction of calorie intake - less severe vasomotor symptoms - Beneficial effects on bone loss - Reduction in breast cancer - Reduction in endometrial cancer - Reduction of CVD |