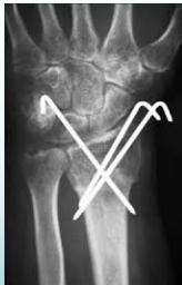
K-wire (Kirschner Wire)
- Indications:
- Fixation of Pediatric fractures
- Small bone fractures in adults
 
- Advantages:
- Easy to apply
- Easy to remove
 
- Disadvantages/Problems:
- Not stable alone
- Infection if end left outside skin
 
 
 
 
 
 

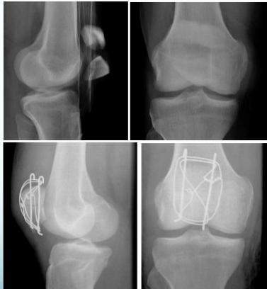
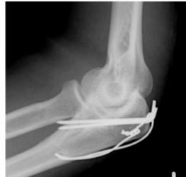
Tension-band Wires
- Indications:
- Patellar and olecranon fractures
- Possible to use in malleolar fractures
 
- Application:
- K-wires applied first, then tension-band wire
 
 
 
 
 

Orthopedic Screws
- Usually made of stainless steel or Titanium
- Thread design varies according to type of bone:
- Cortex screw: Smaller threads, smaller distance between threads
- Cancellous screws: Larger threads, larger distance between threads
 
- All screws come in different sizes and lengths

Screw Types
Fully vs Partially Threaded:
- Fully threaded: Provides purchase (holds)
- Partially threaded: Provides lagging (compression)
 

Partially-threaded Screws:
- Work as lag screw to achieve compression across fracture site
- Fully threaded screws can achieve compression if cortex near screw head is over-drilled
 

Cannulated Screws:
- Hollow to be inserted over a wire
- Makes insertion more accurate in minimally invasive techniques
 
 
 
 

Locked-head Screws:
- Screw heads are threaded to hold to the plate and bone
- Used with special plates with threaded screw holes
- Advantage in osteoporotic bone
- Plate does not press on bone (does not disturb periosteal blood supply)
 

Plate and Screws
- Indications:
- Metaphyseal fractures
- Forearm fractures
- Long bone fractures (complex fractures, alternative to IMN)
 
- Advantages:
- Anatomical reduction
 
- Disadvantages:
- Does not allow early weight-bearing
- Exposure of fracture and fracture hematoma
 

Plate Functions
Plates come in different sizes, lengths, and shapes with several functions:
- Compression
- Bridging
- Protection
- Buttress

Plate Types
Dynamic Compression Plate (DCP):
- Characterized by oval holes
- Designed to exert dynamic pressure between fracture fragments
- Used for simple diaphyseal fractures
 
 

Bridging Plate:
- Provides relatively stable fixation
- Achieving correct length, alignment, and rotation
- The fracture site is left undisturbed

Semi-tubular Plate:
- Designed in the shape of half tube
- Indications:
- Fixation of lateral malleolus/fibula
- Metacarpals/metatarsals
 
 
 

Locked Compression Plate (LCP):
- Has a combination hole:
- Oval hole for compression or ordinary screw
- Serrated hole for locked-head screws
 
- Advantages:
- More resistant to failure from screw loosening and pullout
- Very good fixation in osteoporotic bone
- Plate does not press on bone (preserves periosteal blood supply)
 
- Indications:
- Fracture of osteoporotic bone
- Bridging severely comminuted fractures
 
 
 
 

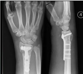
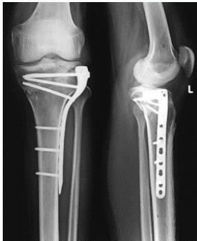
Buttress Plate (T-Plate/L-Plate):
- Indications:
- Lateral or medial tibial plateau fractures
- Distal radius fractures
 
 
 
 

Anatomical Plates with Locked Screws:
- Indications: Metaphyseal fractures
- Advantages:
- Anatomically contoured
- Very good fixation in metaphyseal area and osteoporotic bone
 
 
 

Dynamic Hip Screw (DHS)
- Indications: Fixation of intertrochanteric fractures

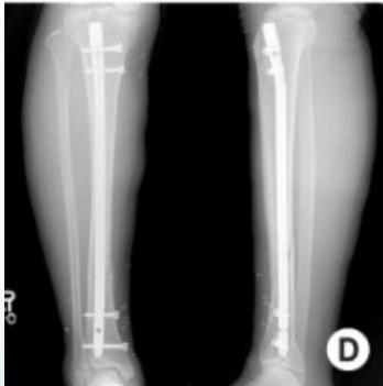
Inter-locking Nail
- Indications: Treatment of fractures of long bones
- Advantages:
- Minimally invasive
- Does not disturb fracture hematoma
- Allows early weight-bearing on lower limb
 
 
 
 

Orthopedic Staples
- Indications:
- Foot surgery
- Epiphysiodesis to correct lower limb deformity
 
 
